上海中科新生命生物科技有限公司

18

手机商铺

qrcode
商家活跃:
产品热度:
  • NaN
  • 0.5
  • 1.5
  • 0.5
  • 3.5

上海中科新生命生物科技有限公司

入驻年限:18

  • 联系人:

    杨小姐

  • 所在地区:

    上海 闵行区

  • 业务范围:

    技术服务

  • 经营模式:

    生产厂商 科研机构

在线沟通

公司新闻/正文

Cell Metab|肥胖患者抗癌更难?中山大学林东昕院士团队发现脂肪组织通过EVs调控免疫微环境促进胰腺癌机制!

144 人阅读发布时间:2025-12-16 16:26

新闻图片1 肥胖不仅是全球性的健康问题,而且是多种癌症进展的风险因素。先前的研究表明,与体重正常的患者相比,患有胰腺癌(PDAC)的肥胖患者进展更快,预后更差。肥胖会导致内脏脂肪组织(VAT)的积累。作为最大的内分泌器官,VAT可以产生激素、细胞因子和其他介质,影响包括恶性肿瘤在内的远端器官和组织的代谢。最近的研究表明,来源于VAT的细胞外囊泡(VAT-EV)可能在这些过程中发挥作用。然而,在肥胖的背景下,EV是否以及如何介导VAT和远端肿瘤之间的通讯尚不清楚。 2025年12月,中山大学肿瘤防治中心林东昕院士、郑健研究员、黄旭东副研究员等合作在Cell Metabolism(IF30.9)杂志上发表了题为“Extracellular vesicles from obese visceral adipose promote pancreatic cancer development and resistance to immune checkpoint blockade therapy”的研究成果,通过整合蛋白质组、代谢组、scRNA-seq和ATAC-seq等分析,发现肥胖相关的VAT-EV可以介导脂肪组织和PDAC之间的串扰以建立免疫抑制性TME,其促进肿瘤进展并削弱免疫检查点阻断(ICB)疗法功效,为开发肥胖相关癌症的新治疗策略奠定了理论基础。 新闻图片2  


 
技术路线
步骤1:来自内脏脂肪的细胞外囊泡促进小鼠肿瘤生长; 步骤2:内脏脂肪EVs中的Ctsa与RNASET 2相互作用促进假尿苷生成进而介导胰腺癌进展; 步骤3:假尿苷激活肥大细胞形成免疫抑制性PDAC微环境; 步骤4:类器官和临床样本验证CTSA是抑制PDAC生长和增强ICB治疗的潜在靶点。


 
研究结果
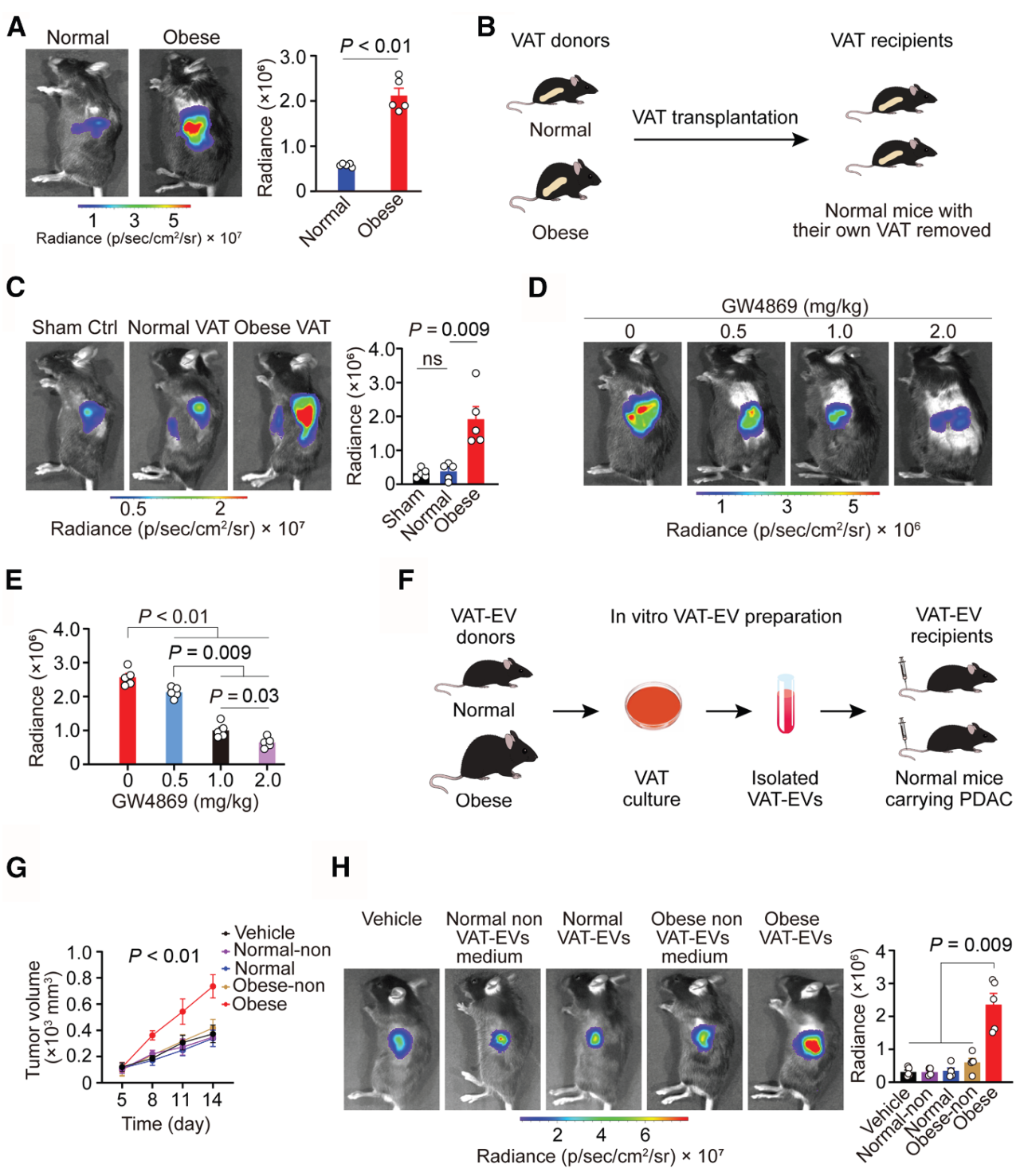
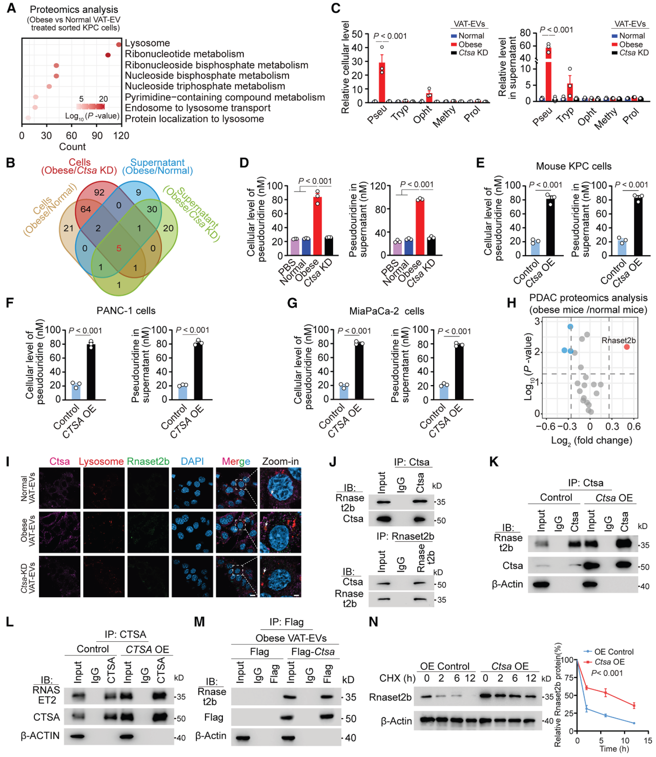
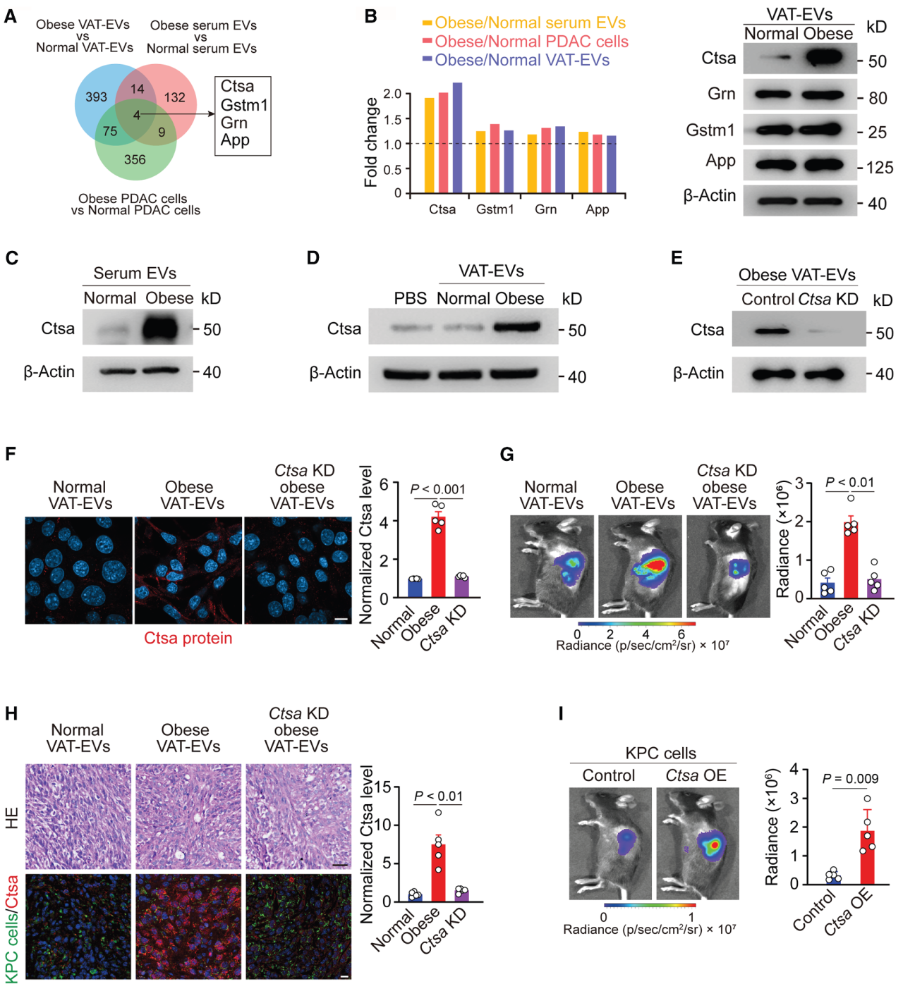
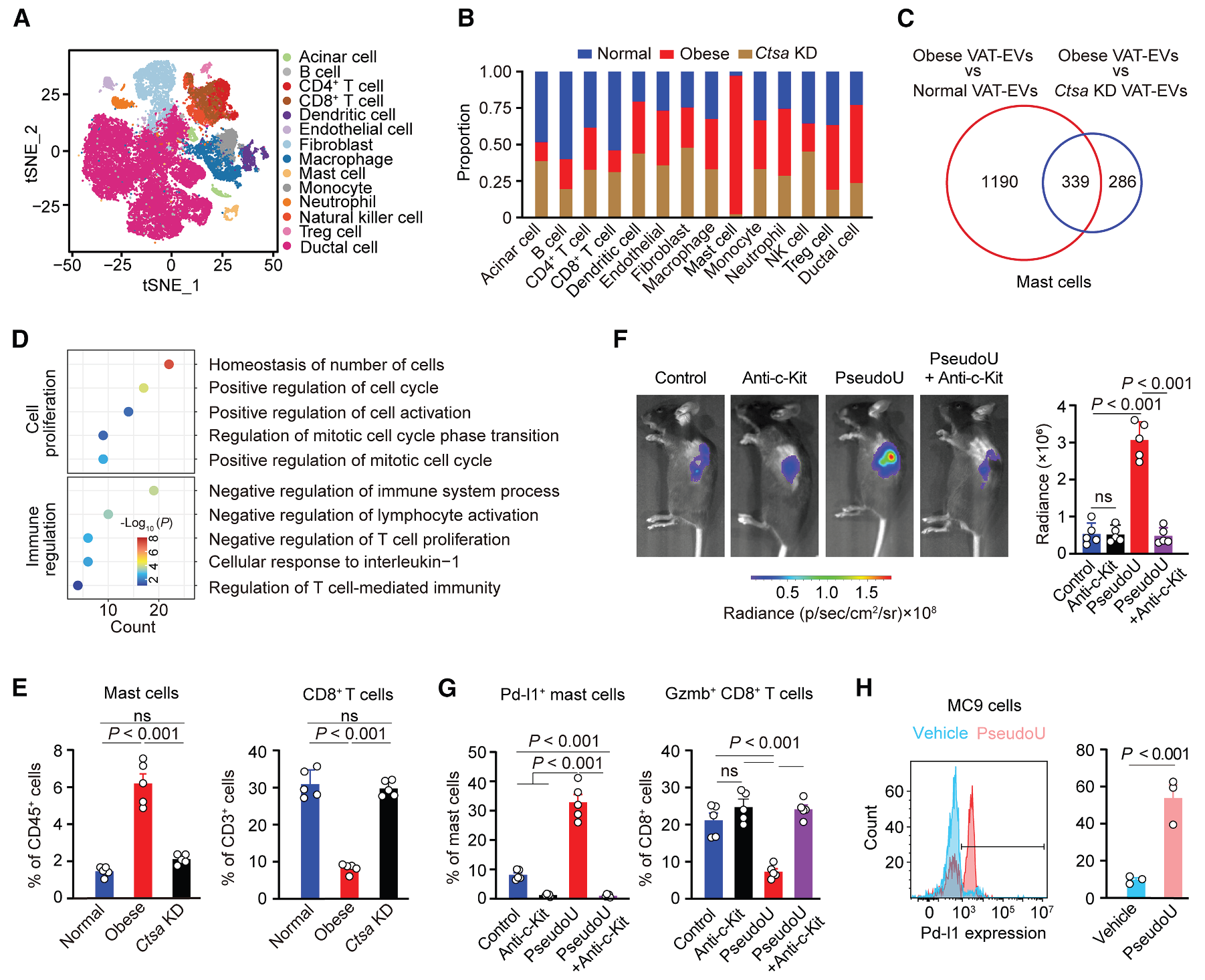
1. 来自内脏脂肪的细胞外囊泡促进小鼠肿瘤生长 将PDAC的癌细胞分别移植到正常和肥胖小鼠的胰腺中,发现肥胖小鼠的肿瘤生长更快。同时移植肥胖小鼠VAT的肿瘤生长更快,表明VAT可以远程促进肿瘤生长。进一步通过EV抑制剂干预肥胖肿瘤小鼠,发现其以剂量依赖的方式显著延缓了肿瘤生长,而体外注射来自肥胖小鼠的VAT-EV可以显著促进肿瘤进展,并在乳腺癌、结肠癌和肝癌中观察到相同结果,表明来自内脏脂肪的细胞外囊泡促进小鼠肿瘤生长。 新闻图片3 图1 肥胖VAT-EV促进小鼠PDAC生长   2. 内脏脂肪EVs中的Ctsa与RNASET 2相互作用促进假尿苷生成进而介导胰腺癌进展 对正常或肥胖小鼠的VAT-EV,正常或肥胖小鼠的血清EV,以及从正常小鼠或肥胖小鼠VAT-EV干预的小鼠肿瘤中分选的肿瘤细胞进行蛋白质组学分析,发现三个处理组共有4个交集蛋白,其中Ctsa显著增加。体内外实验表明肥胖小鼠的VAT-EV可以将Ctsa递送到肿瘤细胞中,促进PDAC进展。 新闻图片4 图2 内脏脂肪EVs含有促进PDAC进展的Ctsa 与不同来源VAT-EV共培养的KPC细胞和培养上清液进行代谢组分析,共鉴定到5个代谢物在肥胖VAT-EV共培养的KPC细胞和上清液中均显著上调,其中假尿苷含量最高,并通过靶向代谢组进行验证。Ctsa过表达细胞及其培养基中假尿苷显著上调,表明小鼠和人胰腺癌细胞中的假尿苷生成很大程度上依赖于Ctsa。蛋白质组学数据显示在溶酶体中定位的核糖核酸酶Rnaset2b,是仅有的在肥胖VAT-EVs处理的KPC细胞中显著上调的RNase,免疫荧光和免疫共沉淀显示Ctsa和Rnaset 2b之间存在相互作用。体内和体外实验进一步验证了CTSA与RNASET 2相互作用促进游离假尿苷生成进而介导胰腺癌进展。 新闻图片5 图3 肥胖VAT-EV衍生的Ctsa与RNASET 2相互作用以促进假尿苷产生   3. 假尿苷激活肥大细胞形成免疫抑制性PDAC微环境 对正常、肥胖VAT-EV和Ctsa-KD肥胖VAT-EV 干预的小鼠胰腺癌组织进行scRNA-seq,共鉴定到14个细胞簇,在肥胖VAT-EVs处理的肿瘤中,肥大细胞比例显著上升,而CD8+ T细胞和NK细胞比例则显著下降。体外实验发现假尿苷可以促进肥大细胞系(MC9)的增殖和组胺的释放。体内实验发现外源性给予假尿苷可以促进PDAC生长,增加PD-L1+肥大细胞的数量,抑制了CD8+ T细胞的活性,而这一效应可被抗c-Kit抗体完全阻断。表明肿瘤细胞产生的与CTSA相关的假尿苷可以激活肥大细胞形成免疫抑制性TME。进一步通过ATAC-seq和RNA-seq发现假尿苷可以通过ROS介导的H3K27me3修饰的丧失增强参与肥大细胞活化、增殖及其免疫调节的基因的表达。 新闻图片6 图4 假尿苷激活肥大细胞形成免疫抑制性TME   4. CTSA是抑制PDAC生长和增强ICB治疗的靶点 在类器官和小鼠模型中发现抑制Ctsa可以显著增强ICI对PDAC的治疗功效,而对动物没有明显的毒性。在临床样本中,超重的胰腺癌患者中的血清CTSA和假尿苷显著高于正常体重的患者。患有PDAC的超重患者中,CTSA与CD117和RNASE 2显著正相关,与CD8负相关。同时超重患者的PFS时间显著短于正常体重患者。用PD 1或CTLA 4治疗的PDAC患者中,部分响应患者的CTSA RNA水平显著低于进展的患者。表明CTSA/假尿苷不仅促进PDAC进展,而且阻碍ICB治疗,影响患者生存。 新闻图片7 图5 CTSA是抑制PDAC生长和增强ICB治疗的靶点


 
文章小结
通过多组学整合分析,该研究揭示了肥胖与癌症之间存在一个由“内脏脂肪组织-细胞外囊泡-CTSA-假尿嘧啶-肥大细胞”(VAT-EV-CTSA-Pseudouridine-Mast Cell)的信号轴,从全新角度系统阐明了肥胖驱动肿瘤进展的核心机制。同时抑制CTSA可以显著增强ICB疗法对肥胖PDAC的功效,为开发针对肥胖相关胰腺癌的精准治疗策略奠定了理论基础。 新闻图片8


    中科优品推荐 【中科新生命】多组学服务业务可为各位研究者提供详细的“实验设计、样本检测、生信分析、数据解读与挖掘”等工作,为您深入进行科学研究,发表高分文章,为后续临床转化奠定基础。 新闻图片9
   
 
  关于中科新生命
 
  上海中科新生命生物科技有限公司(APTBIO)创立于 2004 年,由原中国科学院上海生命科学研究院蛋白质组研究中心孵化而来,是国内质谱多组学应用领域的开拓者。公司以 “AI + 质谱多组学” 双核驱动创新,构建智能化组学生态。拥有自主知识产权的质谱检测平台与 AI 大数据分析系统,聚焦科技服务、生物医药及大健康消费三大领域,为全球科研机构、医院、药企提供从基础研究到临床转化的一站式解决方案。融合多组学技术与人工智能,围绕生物标志物发掘、药物靶点筛选及个性化诊疗等方向,构建具有国际竞争力的组学数据库与算法模型,推动转化医学进程,加速创新药物研发,成为推动生命科学数字化升级的核心引领者。  
 

上一篇

Mol Cancer|云平台助力上海市东方医院董春燕团队发现TNBC潜在治疗靶点ZNF526

下一篇

项目文章STTT(IF 52.7)| 河北医科大学杨展/岳南希等揭示LPE18:1通过重编程脂质代谢影响肾癌进展机制

更多资讯

我的询价