18 年
手机商铺
公司新闻/正文
467 人阅读发布时间:2024-05-29 11:40

胶质瘤(GBM)是中枢神经系统最常见的原发肿瘤。目前多项研究表明肿瘤相关髓系细胞/单核细胞(TAMCs)是促进GBM生长和耐药的关键细胞。与脑转移肿瘤不同,髓系细胞富集的肿瘤微环境是脑部原发肿瘤特有的。因此,靶向TAMCs可能是治疗原发脑部肿瘤的有效策略。
2024年2月,在cell metabolism发表了一项关于胶质瘤的研究,该研究从空间的基因组学和代谢组学等多个维度对GBM谨慎深入解析,提出外周来源的TAMCs聚集与瘤内缺氧区域并合成肌酸,促进GBM进展。
本研究利用单细胞测序分析鉴定到参与肌酸介导的促肿瘤作用的巨噬细胞亚群,更重要地是,利用空间组学分析了肌酸产生和肌酸摄入的区域性,这个区域性与肿瘤的缺氧和坏死区域具有高度的相关性。作者针对组织样本进行了空间代谢分析,利用空间代谢的数据可以进一步地呈现代谢物在TME积累的区域性,并可进一步地呈现基因表达与代谢物积累与细胞定位的相关性,说明三个层面的分子特征之间的相关性。不过本研究未就空间代谢的结果以及多组学结果的联合分析做出高质量的展示。
联合单细胞转录、空间转录、空间代谢的多组学数据整合、结果呈现及对于生物学问题的解析,中科新生命将为您提供更个性化的整体解决方案。

研究结果
1. 肌酸代谢是GBM的TAMCs的分子特征
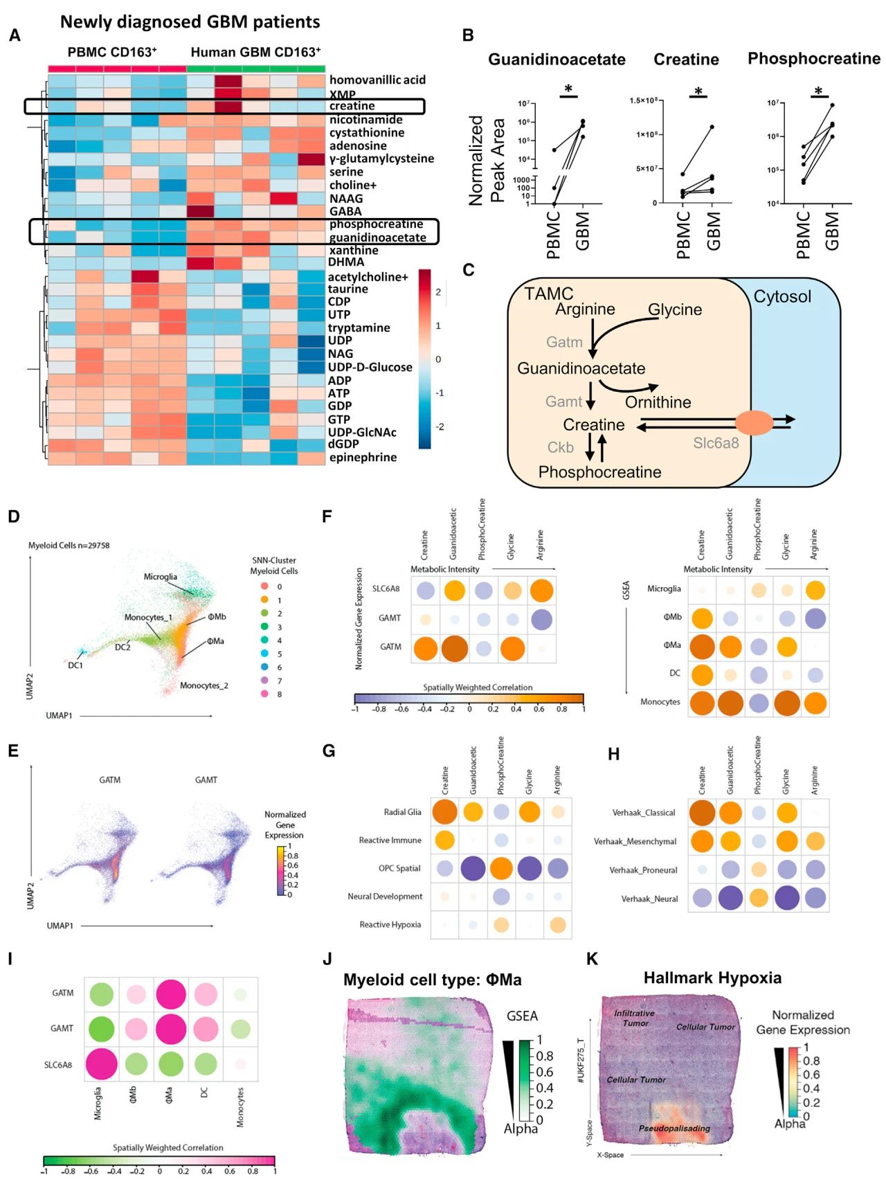
为明确GBM的髓系细胞的代谢特征,作者分析了5位诊断为GBM患者的CD163+的外周单核细胞和肿瘤组织的巨噬细胞的代谢组,鉴定到最显著的差异代谢物为肌酸、胍基乙酸(GAA)、磷酸肌酸等通路的代谢物,其中最为显著的GAA是精氨酸合成肌酸的重要中间产物。因此,肌酸代谢通路成为作者进行后续研究的重要切入点。
作者想要进一步探索肌酸代谢通路在空间上的激活情况,就GBM患者的肿瘤组织进行了单细胞测序和空间代谢分析。作者用了一个GBM的单细胞测序公共数据分析了髓系细胞的表达,鉴定到肌酸代谢通路的关键酶GATM和GAMT在CD163高表达的θMa和θMb亚群中特异高表达。
而后作者就转录分子特征,包括代谢酶的表达和细胞类型的signature,与代谢分子特征,包括肌酸、GAA、磷酸肌酸、甘氨酸、精氨酸这几个关注代谢物,进行了相关性分析。结果显示GATM与肌酸、GAA、磷酸肌酸和甘氨酸具有高度的相关性,而这些代谢物与θMa亚群中含量最高,在其它除了胶质细胞的髓系细胞中均有较多的积累。此外,GAMT和GATM也确实在θMa细胞中表达最高。因此,θMa亚群细胞是后续研究的关键细胞亚群。
作者分析了θMa亚群细胞的空间定位,结果显示这群细胞富集于缺氧区域,并结合基GAMT、GATM的表达以及GAA代谢通路的表达,说明肌酸代谢旺盛的髓系细胞定位于GBM的缺氧区域和坏死周围区域(图1)。

图1 TAMCs合成肌酸
2. 髓系细胞在GBM的缺氧区域富集促进肌酸合成
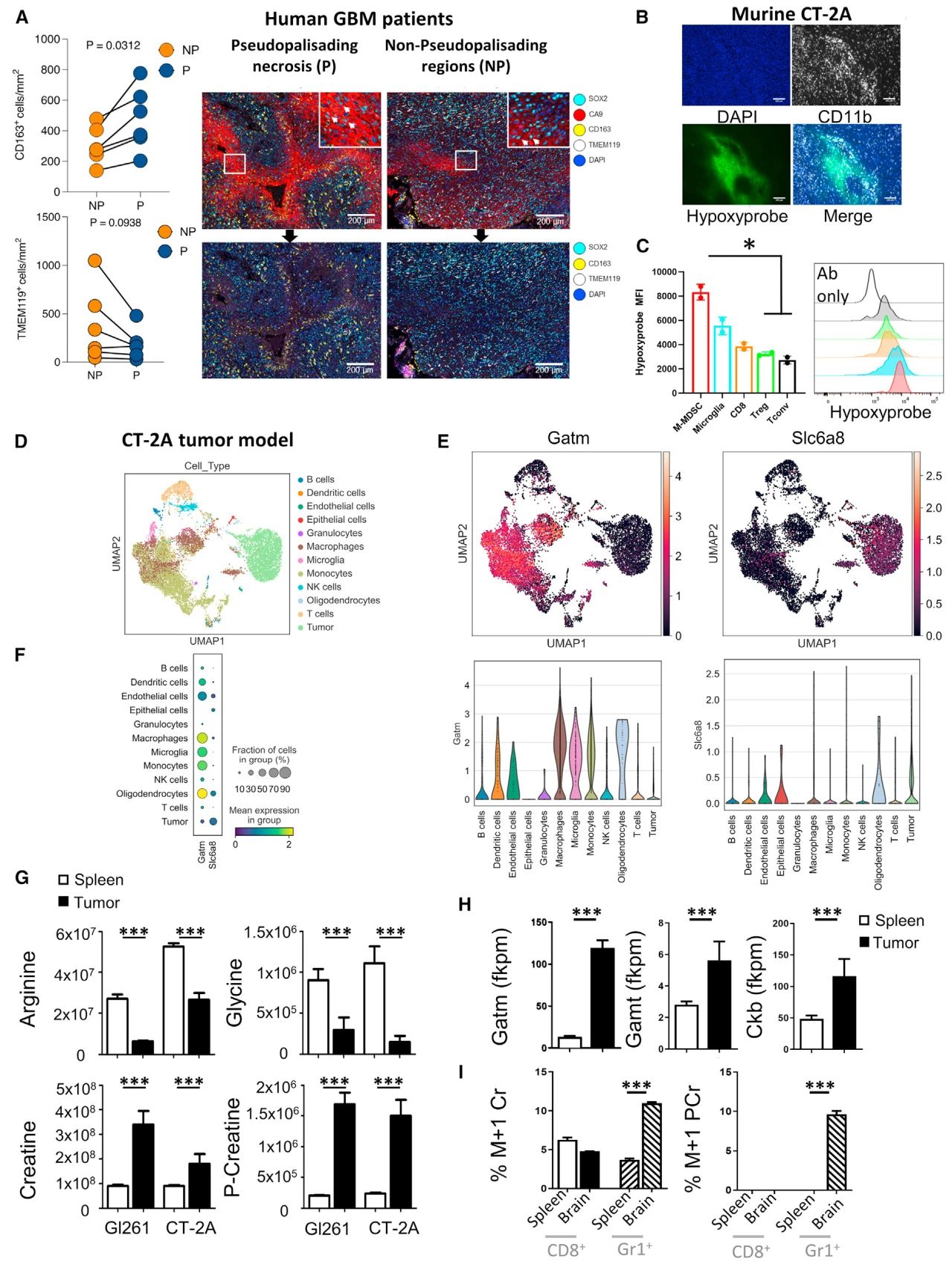
为进一步明确TAMCs在缺氧和坏死周围区域的定位,作者针对GBM样本进行了mIHC研究。结果显示,CD163+的细胞在CA9+的缺氧区域显著富集,而TMEM119+胶质细胞则没有富集于缺氧区域。作者利用CT-2A神经胶质瘤小鼠模型也得到了一致的结论。而后就小鼠模型进行单细胞测序分析,Gatm在TAMCs特异表达,而肌酸运输基因Slc6a8在肿瘤细胞的表达最高。以上结果说明计算代谢在缺氧区域高,并且是髓系细胞产生、肿瘤细胞吸收。
作者针对两个小鼠的GBM模型进行代谢组学测定分析,鉴定到肌酸和磷脂肌酸的含量砸TAMCs中高度积累,RNAseq分析鉴定到肿瘤中肌酸代谢酶Gatm表达显著升高。作者随后用同位素标记的精氨酸处理模型小鼠分离的TAMCs、脾脏的单核细胞和CD8 T细胞,只有TAMCs可鉴定到同位素,说明仅肿瘤的TAMCs促进了精氨酸依赖的肌酸合成(图2)。

图2 肌酸合成和摄入在TME呈现区域化,富集于缺氧区域
为进一步揭示TAMCs上调肌酸代谢的机制,作者对TME分选的TAMCs进行缺氧和酸处理,用qRT的方法鉴定GATM和GAMT的表达,结果显示缺氧和酸处理可以协同地促进这两个基因的表达,并且这个激活过程是HIF依赖的(图3)。

图3 TAMCs的肌酸合成受HIF1A调控
3. 肌酸合成和吸收在GBM中呈现区域化
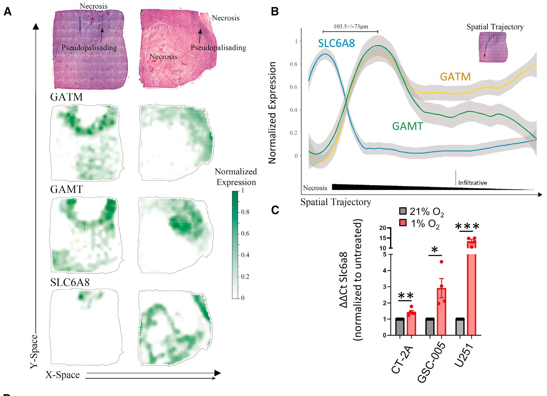
作者分析了空间转录组数据上上述基因的表达情况,鉴定到肌酸合成酶GATM和GAMT在坏死区域外围表达,而肌酸输入单边SLC6A8在坏死区域表达,两者呈现显著的区域化。而后作者就坏死进行空间轨迹分析,进一步验证了在空间的表达模式(图4)。

图4 缺氧促进肌酸摄入
4. 肌酸摄入促进GBM生长
为进一步验证肌酸摄入对肿瘤细胞的作用,作者讲CT-2A细胞系进行缺氧联合肌酸处理,MTT实验显示两者协同地促进肿瘤生长;而后用肌酸摄入抑制剂BPA和肌酸激酶抑制剂cyclocreatine处理,肿瘤细胞存活下降,进一步说明了肌酸对肿瘤细胞生长的促进作用。
进一步地,作者构建了Slc6a8 CRISPR敲除小鼠,用同位素标记的肌酸处理小鼠后,检测到敲除小鼠的肿瘤细胞对肌酸和磷酸肌酸的摄入大大降低,小鼠生存更好。在其它细胞系里敲减Slc6a8,得到了一致的结论(图5)。

图5 SLC6A8调控肿瘤细胞摄入肌酸,促进肿瘤生长
5. 靶向抑制肌酸摄入有望成为GBM的新型治疗方案
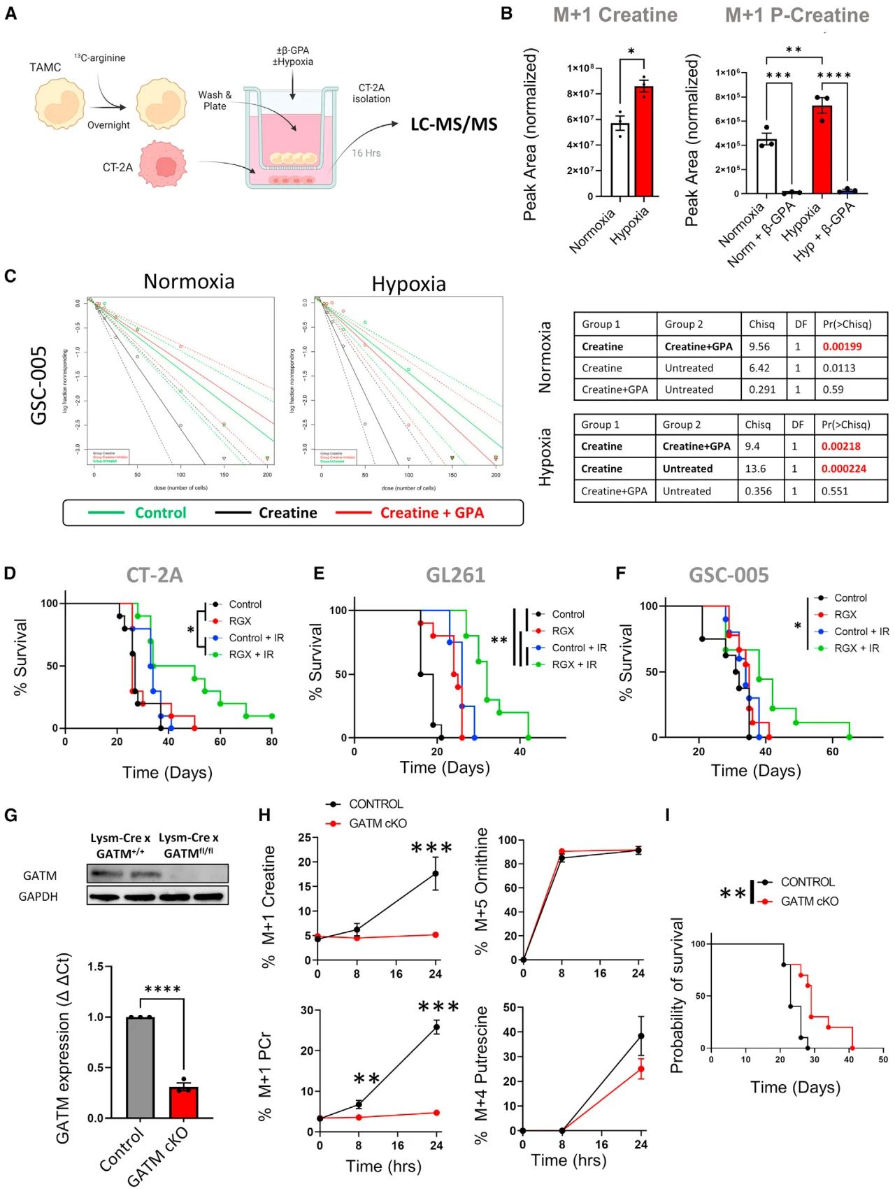
作者随后验证了GPA作为对代谢物摄入的抑制作用,作者用同位素标记的精氨酸进行transwell实验,而后将肿瘤细胞进行代谢组学分析,结果显示缺氧提高肌酸含量,而GPA处理则大大降低肌酸含量。随后作者用ELDA实验验证肿瘤细胞的干性,结果显示肌酸处理在缺氧情况下提高肿瘤的干性,而GPA处理大大降低了其对干性的提升。
作者就GPA的临床应用开展了I期临床实验,肌酸摄入抑制剂化合物RGX-202-01处理联合放疗具有很好的疗效。进一步地,作者构建了在TAMCs条件敲除GATM的小鼠模型,条敲小鼠的肌酸等代谢物大大降低,预后更好。进一步说明了靶向肌酸代谢在GBM治疗中的应用前景(图6)。

图6 靶向抑制肌酸摄入抑制GBM
结论
本研究提出在in vitro和in vivo层面,肿瘤微环境中的髓系细胞产生肌酸,被肿瘤细胞吸收,促进肿瘤生长,并且胞外酸度和缺氧通路通过HIF1A通路促进肌酸的合成。
该研究针对多组学的数据进行了多方面的验证。包括在多个GBM细胞系中、条敲小鼠以及针对小鼠模型进行靶向药物的临床实验,针对肌酸的促肿瘤作用提出了多个角度的严谨证据。

中科优品推荐
【中科新生命】钜惠来袭!单细胞和空间组学联合产品大促,可提供完整的空间多组学联合 “一站式”解决方案,全面助力各位老师勇攀科研高峰! 优惠多多,诚意满满,快来联系我们吧!

