18 年
手机商铺
公司新闻/正文
1108 人阅读发布时间:2024-03-07 16:40

阻断PD-1和PD-L1的结合可以重新激活细胞毒性T细胞对肿瘤的杀伤作用,是一种重要的肿瘤免疫治疗方式,但是PD-1/L1单抗在肿瘤应答率等方面仍有不足。相反,小分子抑制剂在这方面就体现出了先天的优势。
2024年2月20日,海军军医大学张卫东和上海中医药大学刘三宏团队在Cell Reports Medicine(IF 14.3)发表了关于海洋天然小分子Benzosceptrin C通过靶向DHHC3降解PD-L1发挥免疫抗肿瘤方面的新研究成果“Benzosceptrin C induces lysosomal degradation of PD-L1 and promotes antitumor immunity by targeting DHHC3”。

研究结果
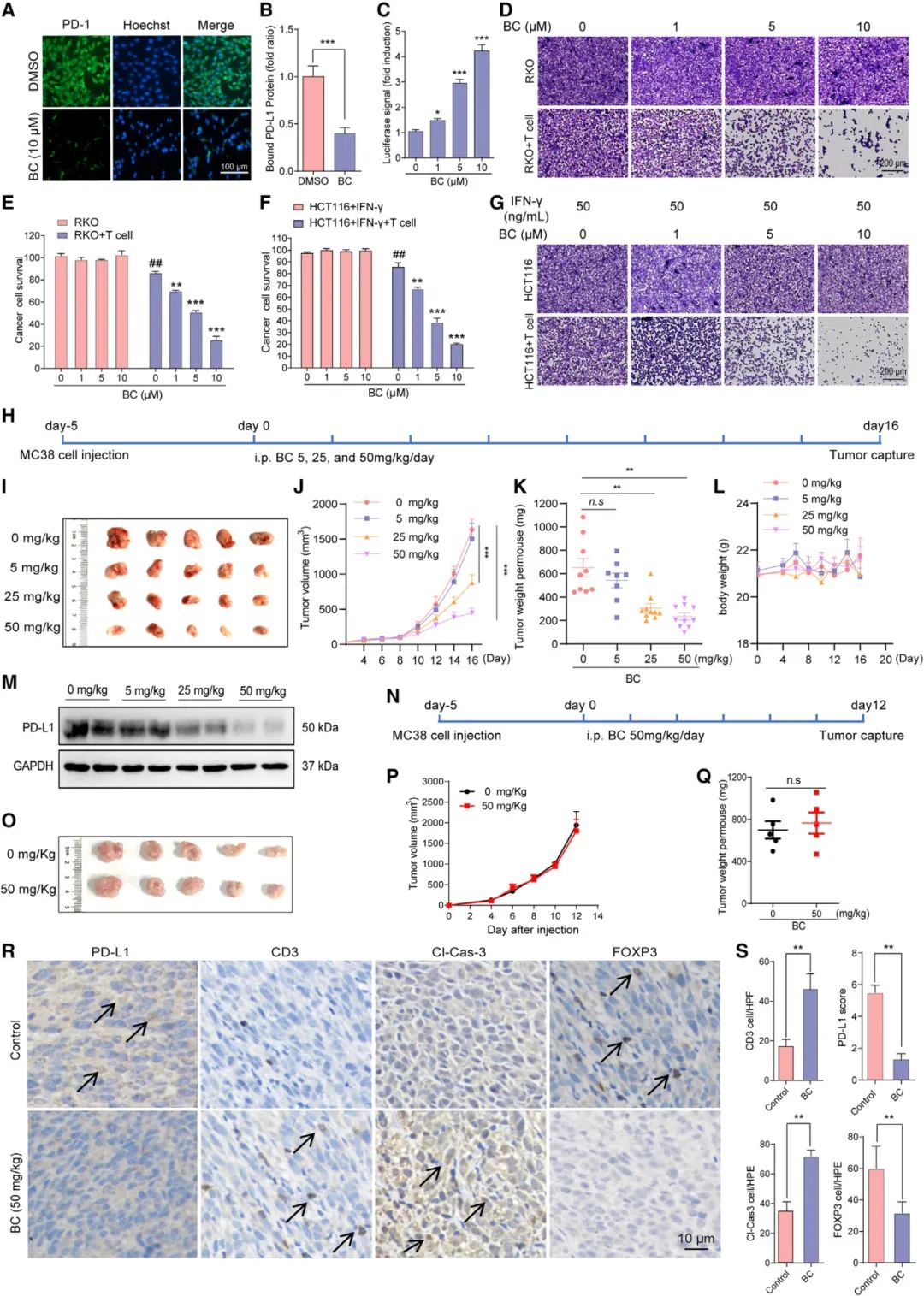
1. Benzosceptrin C(BC)能够显著下调肿瘤细胞PD-L1的表达从而增强T细胞抗肿瘤活性作者选择RKO细胞作为工具细胞,筛选天然化合物寻找潜在的PD-L1抑制剂。实验发现,BC是一种新的PD-L1负调控分子,即BC降低了CRC细胞中PD-L1的表达。进一步的研究表明,BC主要通过下调PD-L1的表达来增强T细胞对CRC细胞的杀伤作用。

图1 BC可促进RKO细胞中PD-L1的降解

图2 BC可以减弱肿瘤细胞结合PD-1的能力,增强T细胞的细胞毒性,介导T细胞依赖性的抗肿瘤作用
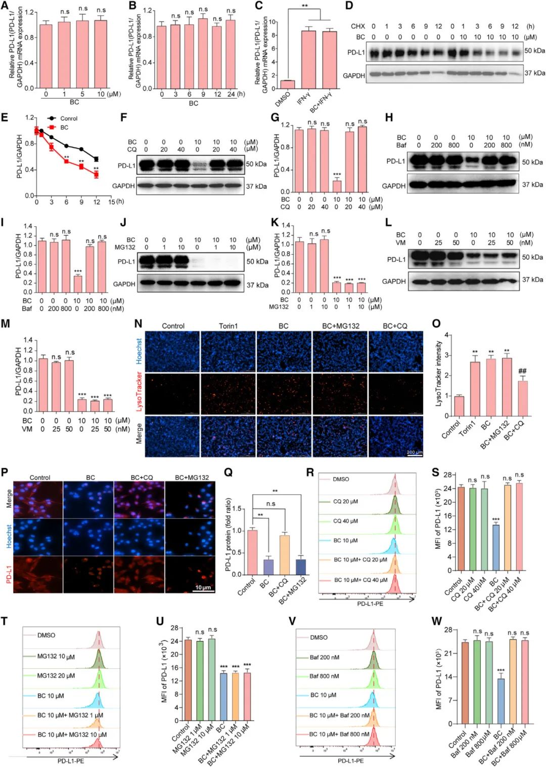
2. BC通过溶酶体途径促进PD-L1降解
作者发现,BC诱导的PD-L1下调主要控制在蛋白水平而非mRNA水平。相关溶酶体途径抑制剂均能逆转BC对PD-L1蛋白的抑制。转录组测序结果表明,多个溶酶体相关基因表达上调,包括RAB7A、溶酶体相关膜蛋白1 (LAMP1)、LDLR和NPC1,进一步证实BC能够影响溶酶体的功能。鉴于PD-L1通过溶酶体途径降解主要涉及蛋白水平的变化,研究者也对BC处理的细胞进行了蛋白质组学分析,结果发现KEGG富集到溶酶体途径最多。这些结果表明BC介导的PD-L1降解是通过溶酶体依赖途径介导的。

图3 BC诱导PD-L1的溶酶体依赖性降解
3. BC通过直接结合DHHC3抑制DHHC3活性
为了探索BC降解PD-L1的作用靶点,本研究利用药物亲和反应靶点稳定性(drug affinity responsive target stability,DARTS)鉴定与BC直接相互作用的蛋白靶点。在分析排名靠前的基因时发现BC可能直接作用于棕榈酰基转移酶。为了鉴定CRC中主要的棕榈酰基转移酶,于是建立了结合蛋白表达、亚细胞定位和功能缺失试验的筛选方法。首先,从人类蛋白质图谱中列出了所有在CRC中表达的DHHCs。进一步排除了位于细胞核(与PD-L1缺乏空间重叠)的DHHCs,提出了有待实验验证的候选基因,包括DHHC2、DHHC3、DHHC4、DHHC6、DHHC8、DHHC11、DHHC13、DHHC17、DHHC21和DHHC24。逐一敲低这些基因后发现敲低 DHHC3后会减少 PD-L1 蛋白表达。免疫共沉淀和免疫荧光实验显示PD-L1 和 DHHC3 之间存在相互作用。
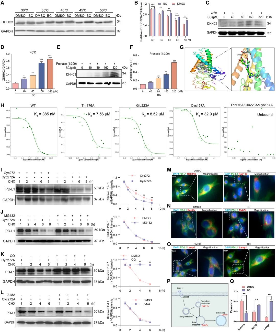
为了确定BC是否与DHHC3蛋白直接结合,作者使用了细胞热移位实验(CETSA)、微量热泳动(MST)和分子对接对BC和DHHC3之间进行了直接结合分析。这些实验法证实了BC与DHHC3的直接结合。并且一旦DHHC3上Thr176、Glu223和Cys156三个位点全部突变为丙氨酸,DHHC3和BC的结合就消失了。进一步的分析表明,BC通过靶向DHHC3阻断PD-L1的棕榈酰化,进而加速PD-L1的降解。

图4 BC通过DHHC3乙酰转移酶影响PD-L1的棕榈酰化

图5 BC直接结合并抑制DHHC3活性
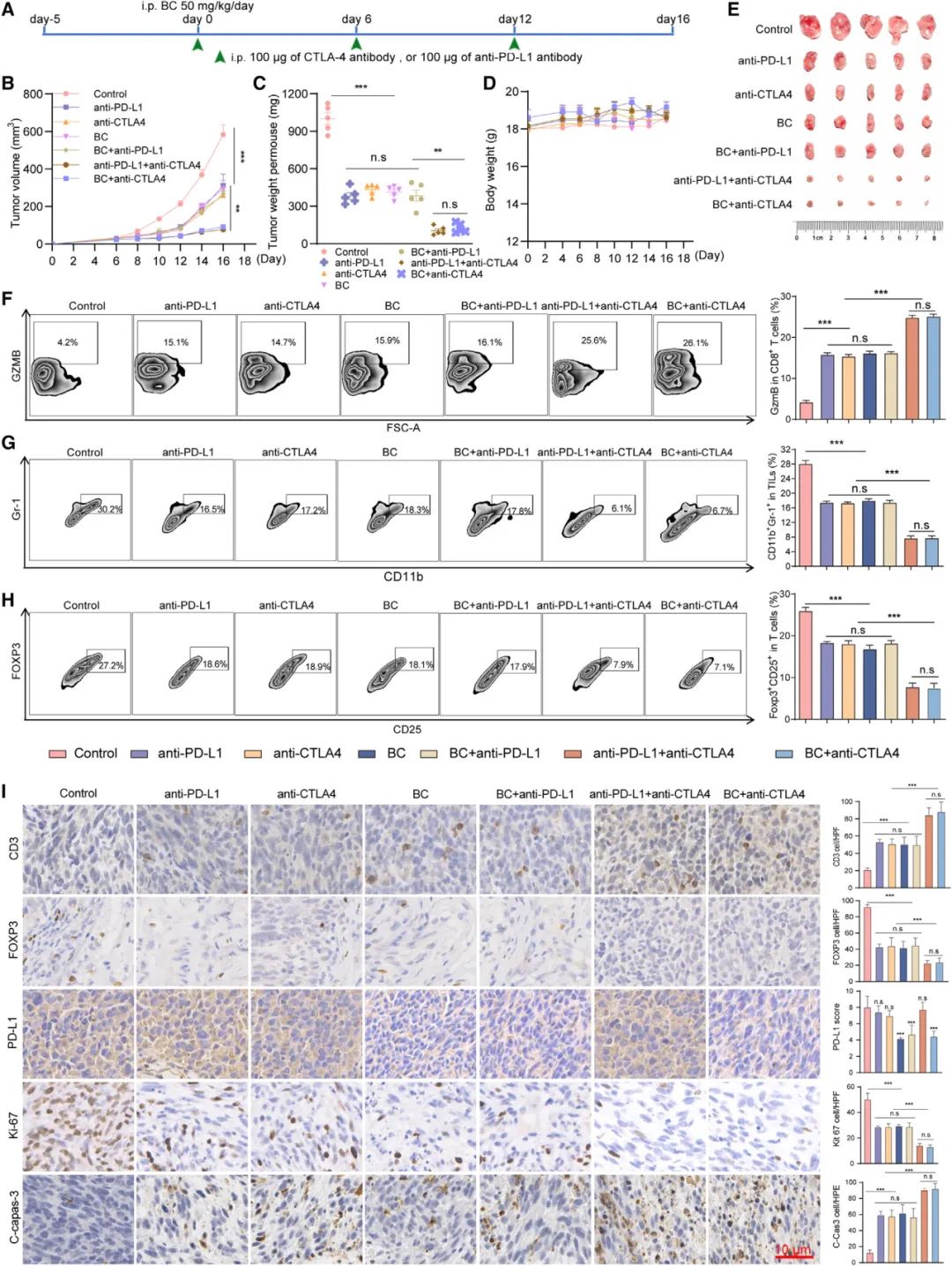
4. BC与抗CTLA4联合使用可有效抑制肿瘤生长
临床上,抗PD-1和抗CTLA4药物联合治疗较PD-1单药治疗具有更高的应答率,可显著提高肿瘤患者的应答率和生存率。接下来,作者研究了BC联合抗CTLA4治疗是否具有协同抗肿瘤作用。结果表明,BC和抗PD-L1之间不具有协同作用。通过分析TILs,发现联合组的CD8+T细胞数量和CD8+/CD4+T细胞比值均高于单独治疗组。髓系衍生抑制性细胞(MDSCs)和Tregs被认为是肿瘤微环境中两个主要的免疫抑制群体,可以通过抑制T淋巴细胞免疫导致肿瘤免疫逃逸。流式细胞术分析显示,与单独处理组相比,联合组显示出MDSC(CD11b+Gr1+)和Treg (CD4+CD25+FOXP3+)积累的显著减少。这一结果也被免疫组织化学所证实。总之, BC是一种很有前途的药物,可以提高抗肿瘤免疫,并在抗CTLA4免疫检查点阻断免疫治疗。

图6 BC和CTLA4联合抑制肿瘤生长
5. 人肿瘤组织中DHHC3和PD-L1的蛋白表达水平
为了在人体肿瘤组织中验证上述结果,本研究评估了6例结肠癌患者的癌旁组织和肿瘤组织中DHHC3和PD-L1的蛋白表达水平。结果显示,4例患者的癌旁组织和癌组织的表达与预期一致。此外,在TCGA数据库中的GEPI分析也显示,CD274和DHHC3在癌组织中的表达高于癌旁组织,但无显著差异。与WB结果一致,4例CRC组织免疫组化样本显示DHHC3与PD-L1表达呈正相关。此外,在结直肠癌和总癌症中,相关系数分别为0.21和0.25。这些结果表明DHHC3对PD-L1的棕榈酰化修饰使其在CRC中稳定存在。

图7 结直肠癌组织中DHHC3与PD-L1表达的相关性
总结与讨论
重要性:PD-L1小分子抑制剂由于分子量较小,免疫原性可以忽略不记。靶向调控PD-L1表达的小分子有可能成为一种新的治疗方式,因此寻找调控PD-L1表达的天然小分子将成为免疫治疗过程中的新方案。
创新性:该工作为小分子药物调控PD-L1的靶标发现和机制研究提供了一种新思路。
拓展性:基于前期获得的筛选数据结合人工智能,通过算法进一步精确定位潜在调控PD-L1的小分子,缩短筛选时间。也可通过对已经上市的药物进行筛选,发现一些能够老药新用的上市药物。同时,再结合多种蛋白质组学技术以及生物信息手段,对筛选到的小分子进行深入研究。
中科优品推荐
单体研究的重点、难点在于寻找其直接作用的靶点。探针法是直接作用靶点鉴定的主要方法之一。该方法将药物制作成探针并固定在载体上,然后钓取与其结合的蛋白并进行鉴定。但是,探针法受到化学合成实验条件以及药物结构性质等方面的限制,其适用范围有限。一些新的化学蛋白质组方法,如有限酶切法(Lip-MS),可通过分析蛋白的酶切状态,是否因被药物结合而发生改变,实现对结合蛋白的大规模鉴定。这类方法无需将小分子制备成探针,而且还提供小分子-靶点潜在结合序列信息。有限酶切法化学蛋白质组的基本原理示意图如下:

在此基础上,进一步结合表面等离子共振(Surface plasmon resonance, SPR)等技术测定亲和力及结合动力常数,以及进行功能试验确证靶点的功能介导效应,可最终确认单体所直接作用的功能靶点。研究路线如下:
