膀胱癌(BCa)是泌尿系统主要恶性肿瘤之一,在2022年造成17100人死亡。晚期BCa患者的主要治疗措施是顺铂化疗,但几个月后会出现耐药性,导致肿瘤复发和转移。因此,了解BCa恶性表型和化疗耐药的深层调控机制对制定BCa治疗策略的至关重要。一些临床研究发现限制甲硫氨酸和化疗联合使用能获得了很好的预后结果。过去对甲硫氨酸限制的临床前研究和临床试验只关注于癌细胞,而忽略了调节甲硫氨酸代谢的预期。因此,有必要进一步揭示甲硫氨酸的代谢特征及顺铂耐药性。
2023年8月,复旦大学附属华山医院姜昊文教授研究团队的杨宸主治医师在期刊Cell Death and Disease (IF 9.0)上发表了题为“Methionine orchestrates the metabolism vulnerability in cisplatin resistant bladder cancer microenvironment”的文章。该研究团队利用4D-Label free蛋白组学结合代谢组学,揭示膀胱癌顺铂耐药性机制。中科新生命为该研究提供了4D-Labelfree蛋白质组学和代谢组学技术服务及联合分析。
研究材料
人和鼠膀胱癌细胞SV-HUC-1、RT4、UM-UC-3、T24、5637、MB49。膀胱癌根治性膀胱切除术的90对正常和恶性组织
技术路线
步骤1:多组学分析BCa细胞的顺铂耐药表型依赖于甲硫氨酸代谢;
步骤2:甲硫氨酸代谢通过改善细胞干性促进BCa的顺铂耐药;
步骤3:circARHGAP10是一种在顺铂耐药BCa细胞中通过调控MAT2A介导的与甲硫氨酸代谢相关的circRNA;
步骤4:circARHGAP10通过泛素/蛋白酶体依赖性降解与MAT2A相互作用并破坏其稳定;
步骤5:circARHGAP10促进E3连接酶TRIM25与MAT2A相互作用,增强MAT2A泛素化。
主要内容
1. 多组学分析BCa细胞的顺铂耐药表型依赖于甲硫氨酸代谢
研究团队对T24细胞和T24-CR细胞进行代谢组学分析,寻找BCa获得顺铂耐药性后的差异代谢产物。在164种显著失调的代谢产物中(图1A),确定了T24-CR细胞中与氨基酸代谢相关的16种下调代谢和50种上调代谢(图1B)。GSEA分析进一步发现了T24-CR细胞中的几种代谢途径,如谷氨酰胺代谢和碳代谢(图1C)。T24细胞与T24-CR细胞进行蛋白质组学分析,发现MAT2A在T24-CR细胞中高表达(图1D,E)。还发现T24-CR细胞中甲硫氨酸代谢的富集情况(图1F)。根据蛋白质组学数据,在这些代谢途径中,只有甲硫氨酸代谢的关键酶MAT2A在T24-CR细胞中上调,这表明甲硫氨酸代谢对顺铂耐药至关重要。在T24-CR细胞中,甲硫氨酸和SAM富集,而SAH下调,这意味着T24-CR细胞中甲硫氨酸的整体循环和甲基化反应增强,为表观遗传调控提供了必需的甲基供体。作为甲硫氨酸代谢的副产物,谷胱甘肽在T24-CR细胞中也被上调(图1D)。代谢组学和蛋白质组学的一致性分析表明,富集通路具有相对较好的相关性,这表明两个组学在顺铂耐药膀胱癌细胞中具有完美的相关性(图1G)。通过对蛋白质和代谢的综合多组学分析,发现甲硫氨酸代谢参与了BCa细胞的顺铂耐药。
图1 蛋白质组学和代谢组学的多组学分析发现BCa细胞顺铂耐药依赖于MAT2A
2. 甲硫氨酸代谢通过改善细胞干性促进BCa的顺铂耐药
为了探究顺铂耐药性、甲硫氨酸消耗量与癌症干细胞特征之间的关系。研究团队首先验证了甲硫氨酸代谢相关酶的蛋白表达。在顺铂耐药的BCa细胞中,MAT2A以及干细胞标志物CD44和Nanog高表达(图1H)。进一步敲低MAT2A或使用FIDAS(MAT2A的小分子抑制剂)下调T24-CR细胞中的MAT2A及其下游通路(图1I)。贴壁细胞失去了癌症干细胞标记以及对甲硫氨酸消耗的高需求,而维持在类器官中的细胞保留了这些特征。肿瘤干细胞的主要表型是高潜在的致瘤能力。当敲除MAT2A或通过FIDAS抑制MAT2A时,T24-CR细胞的球状体形成能力(图J)和致瘤能力(图1K、L)下降。T24-CR-shMAT2A (IC50 = 3.29μM) 和T24-CR-FIDAS(IC50 = 7.92μM)对顺铂的敏感性也高于T24-CR细胞(图1M)。这些发现强化了BCa的顺铂耐药增强了依赖于甲硫氨酸代谢的细胞干性。
3. circARHGAP10是一种在顺铂耐药BCa细胞中通过调控MAT2A介导的与甲硫氨酸代谢相关的circRNA
研究团队对T24和T24-CR细胞以及5对良性和恶性膀胱组织进行了高通量circRNA测序(图2A,B),发现了BCa中某些circRNA对顺铂耐药和癌变至关重要。从这两个数据集的交集中确定了四个下调的circRNA和三个上调的circRNA。进一步检测了这些T24-CR细胞中MAT2A的表达,其中某些circRNA被过度表达或下调。只有T24-CR过度表达,circOE2表达相对较低的MAT2A (图2C),表明circOE2可能与MAT2A介导的甲硫氨酸代谢相关。T24-CR-circOE2细胞也具有较低的肿瘤形成能力(图2D,E),表明circOE2干扰细胞干性。circOE2来源于circbank,名称为hsa_circ_0001449 (circARHGAP10),一种来源于4号染色体ARHGAP10基因的222nt circRNA(图2F)。RNase R证明了线性转录的环状RNA的循环降低了BCa细胞中的线性ARHGAP10水平,而没有改变circARHGAP10水平(图2G),放xian菌素D处理表明,circARHGAP10在BCa细胞中比线性ARHGAP10更稳定(图2H)。甲硫氨酸和SAM以及参与顺铂耐药性的几种代谢产物(图1B,C)在T24-CR-circARHGAP10 OE细胞中下调(图2I),说明 circARGHAP10与甲硫氨酸代谢相关的circRNA。作者还观察到MAT2A、干细胞标记物以及组蛋白甲基化标记物与circARHGAP10表达相关(图2J),这最终决定了顺铂治疗期间BCa细胞的IC50(图2K)。T24和T24-CR细胞的球形形成能力(图2L)和致瘤能力(图2M,N)也显示了与circARHGAP10介导的MAT2A表达相关。进一步验证了circARHGAP10在90对BCa TMA中的表达情况(图2O)。

图2 circARHGAP10是顺铂耐药BCa细胞中与甲硫氨酸代谢相关的cirRNA
4. circARHGAP10通过泛素/蛋白酶体依赖性降解与MAT2A相互作用并破坏其稳定
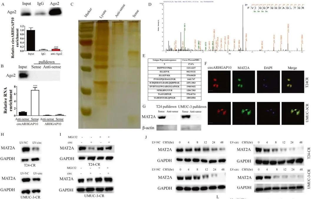
进一步发现MAT2A与circARHGAP10之间的调节机制。采用RIP法检测circARHGAP10在BCa细胞中是否具有miRNA海绵的功能。Ago2在抗ago2浓度显著升高,circARHGAP10未升高(图3A)。由于ago2介导的miRNA过程对miRNA代谢至关重要,在ago2和circARHGAP10之间未观察到相互作用,这表明circARHGAP10不是ceRNA。作者进一步使用RNA下拉法检测了circARHGAP10的表达能力。首先,验证了sense探针能够高效、特异地富集circARHGAP10(图3B)。通过SDS-PAGE、银染、质谱分析分离沉淀(图3C)。作者还发现MAT2A包含在丰富的相互作用蛋白中(图3D,E),表明MAT2A和circARHGAP10之间存在直接相互作用。进一步鉴定了与MAT2A共定位的circARHGAP10(图3F)以及circARHGAP10与MAT2A之间的直接相互作用(图3G)。在circARHGAP10过表达的BCa细胞中,MAT2A的蛋白水平降低(图3H),并通过MG132治疗消除了这种影响(图3I)。环己亚胺追踪实验分析确定,在circARHGAP10过度表达时,MAT2A的稳定性下降(图3J)。这些结果表明,circARHGAP10可能通过直接相互作用增强其泛素/蛋白酶体依赖性来破坏MAT2A的稳定性。
图3 circARHGAP10通过与MAT2A的直接相互作用破坏MAT2A的稳定
5. circARHGAP10促进E3连接酶TRIM25与MAT2A相互作用,增强MAT2A泛素化
将T24和T24-CR细胞的蛋白组学与circARHGAP10的RNA-pulldown进行交叉质谱分析,进一步鉴定MAT2A泛素相关蛋白。两种E3连接酶TRIM25和ISG15,以及两种泛素特异性蛋白酶家族成员USP5和USP14在两个治疗组中显著交替(图4A)。在蛋白质组学分析中发现TRIM25在T24组上调,ISG15、USP5和USP14在T24-CR组中上调(图4B)。由于TRIM25下调或USP5和USP14上调会降低相关蛋白的泛素水平,因此选择这三种泛素相关蛋白进行进一步分析。然后观察到TRIM25,在顺铂耐药BCa细胞中与circARHGAP10相互作用(图4C),通过TRIM25与MAT2A的直接相互作用,进一步确认TRIM25是否为MAT2A的E3连接酶。共免疫沉淀分析显示TRIM25直接与MAT2A相互作用(图4D),免疫荧光(IF)证实TRIM25与MAT2A共定位(图4E)。TRIM25与MAT2A三维结构的分子对接也表明TRIM25与MAT2A之间存在直接相互作用(图4F)。TRIM25对MAT2A的mRNA水平没有影响,MAT2A蛋白显著增加(图4G),TRIM25过表达时,MAT2A蛋白下调(图4H)。TRIM25ΔRBD对MAT2A蛋白水平没有影响(图4H),这表明完整的RNAbinding结构域对MAT2A泛素化至关重要。

图4 circARHGAP10作为TRIM25和MAT2A相互作用的支架,促进MAT2A的泛素化
小结
综上所述,本研究介绍了甲硫氨酸在顺铂膀胱癌微环境中的主导作用。通过抑制MAT2A或限制甲硫氨酸来下调甲硫氨酸通量与抑制SLC家族SLC7A6的联合治疗,可以破坏癌细胞中甲硫氨酸的高消耗并保留CD8+T细胞的功能,这对于顺铂耐药的膀胱癌细胞患者是一个很有前景的临床治疗选择。