18 年
手机商铺
公司新闻/正文
76 人阅读发布时间:2026-02-04 14:29

线粒体是细胞的“能量工厂”,其功能正常对细胞至关重要。细胞通过“线粒体自噬”的过程来选择性清除受损或多余的线粒体,以维持线粒体网络的质量。此前研究表明,短期禁食对健康有益,其中一个原因就是它能激活线粒体自噬,改善线粒体功能。然而,细胞是如何感知营养状态的变化(如饥饿),并精确启动线粒体自噬的?饥饿为何能改善细胞健康?其背后的具体分子机制一直不甚清晰。
一项突破性研究揭示,细胞代谢的核心分子——乙酰辅酶A(AcCoA),竟是控制线粒体质量的关键信号开关。近日,复旦大学雷群英教授团队在国际顶刊《Nature》发表了一项题为“Cytosolic acetyl-coenzyme A is a signalling metabolite to control mitophagy”的重要研究。该研究首次发现,细胞浆中的AcCoA不仅是能量代谢的核心分子,更作为一个关键的信号分子,通过直接结合线粒体蛋白NLRX1,调控“线粒体自噬”的关键细胞过程。

研究材料
细胞系:HEK293T、 HeLa、A549、 MCF7、U-2 OS、AsPC-1和KPC(KrasG12D/+Trp53R172H/+)细胞系
动物模型:Nlrx1-/-小鼠、NSG小鼠
技术方法
CRISPR-Cas9基因编辑技术、代谢组学检测、免疫共沉淀技术、免疫荧光、流式细胞术等技术
研究结果
1. 核心发现:AcCoA水平下降是启动线粒体自噬的关键信号
研究团队首先证实,在细胞模型和小鼠模型中,短期饥饿(或模拟饥饿条件)确实能有效诱导线粒体自噬。通过代谢组学分析,他们发现了一个关键变化:在发生线粒体自噬的细胞中,细胞浆内的AcCoA水平显著下降,而线粒体内的AcCoA水平则保持不变。为了确认AcCoA的下降是“因”而非“果”,研究人员使用了多种抑制剂(如抑制ACLY或SLC25A1的药物)来直接降低细胞浆中的AcCoA水平(fig1 b)。结果发现,人为降低AcCoA就足以成功诱发线粒体自噬。反之,如果给细胞补充乙酸(AcCoA的合成前体),则能够完全阻断由饥饿或药物引起的线粒体自噬。这一系列严谨的实验证明,细胞浆AcCoA的减少是触发线粒体自噬的一个上游信号事件。

图1:线粒体自噬的细胞AcCoA水平显著下降
2. 线粒体自噬机制揭秘:NLRX1是AcCoA的“受体”
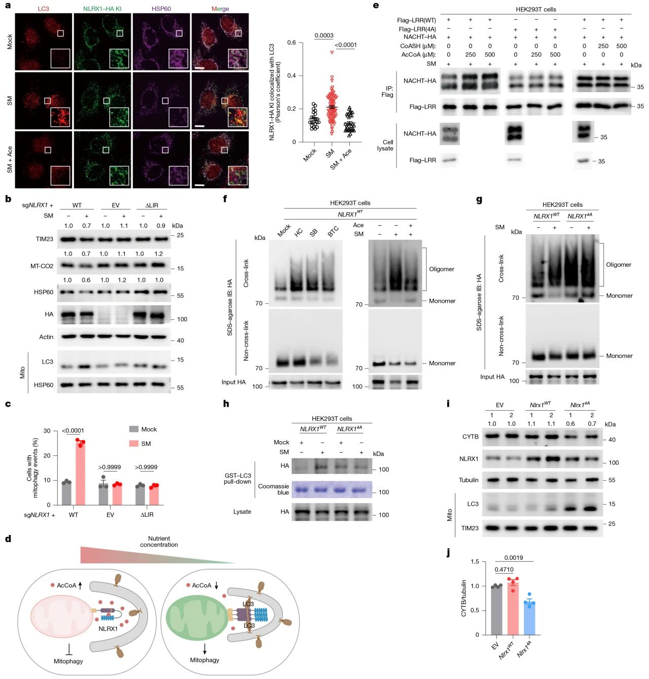
接下来的关键问题是:细胞如何“感知”AcCoA水平的变化?为了寻找这个“受体”,研究团队进行了一项全基因组的CRISPR筛选。在筛选出的众多基因中,一个定位于线粒体的蛋白——NLRX1——脱颖而出(fig2 d-e)。


图2:敲除NLRX1会阻断由AcCoA减少引发的线粒体自噬
这意味着NLRX1是AcCoA信号下游不可或缺的关键媒介。那么,AcCoA是如何调控NLRX1的呢?
研究人员发现,AcCoA并非通过常见的蛋白质乙酰化修饰来影响NLRX1,而是直接结合到NLRX1蛋白的LRR结构域上一个高度保守的口袋中。分子对接预测出NLRX1蛋白的四个关键氨基酸残基——Glu729, Lys754, Gln758, 和 Arg958——可能通过与AcCoA的磷酸基团和乙酰基团形成相互作用,来稳定AcCoA的结合(fig3 e-f)。

图3:NLRX1通过NACHT结构域LIR motif与自噬标记蛋白LC3结合
营养充足时-“关”状态:细胞浆AcCoA水平高,AcCoA结合在NLRX1的LRR结构域上,促使LRR与NACHT结构域相互作用,将整个蛋白“锁”在一种自抑制的构象(fig4 a)。此时,NACHT结构域上的LIR motif被遮蔽,无法结合自噬标记蛋白LC3。
饥饿或代谢扰动时-“开”状态:细胞浆AcCoA水平下降,AcCoA从NLRX1的LRR上解离,自抑制被解除。NLRX1发生构象变化和寡聚化(多个NLRX1蛋白聚集在一起),暴露出NACHT结构域上的LIR motif,使其能够高效招募自噬标记蛋白LC3,从而启动线粒体自噬(fig4 f-i)。

图4:AcCoA可引发NLRX1的自身抑制
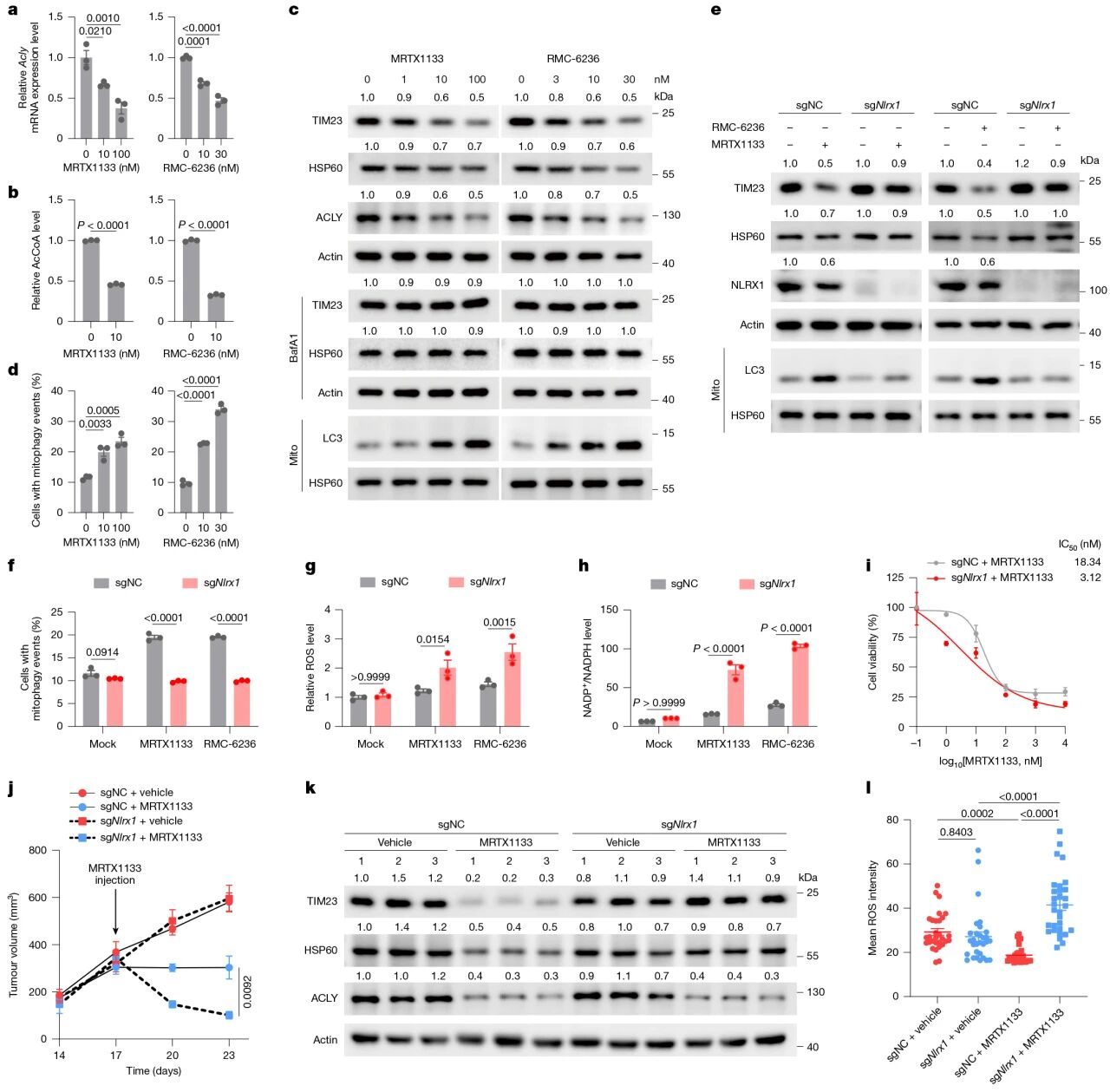
3. 从实验室到临床:破解癌症耐药的新机制
这项发现的深远意义远不止于基础细胞生物学。研究团队进一步探索了其在肿瘤治疗中的价值。KRAS是著名的致癌基因,针对它的抑制剂是癌症治疗的热点,但耐药性是最大挑战。
研究发现,KRAS抑制剂在发挥作用时,会下调ACLY的表达,导致细胞浆AcCoA水平降低,进而意外地激活了NLRX1介导的线粒体自噬(fig5 a-d)。这实际上是肿瘤细胞的一种“金蝉脱壳”式的自我保护机制:通过主动清除线粒体来减轻药物带来的氧化应激,从而促进癌细胞存活,产生耐药性。
关键的证据是:在敲除NLRX1的肿瘤细胞中,KRAS抑制剂的杀伤效果显著增强(fig5 i)。在动物模型中,同时抑制NLRX1和施用KRAS抑制剂,能更有效地抑制肿瘤生长(fig5 j-l)。这表明,靶向“ACLY-AcCoA-NLRX1”这条信号轴,有望成为克服KRAS抑制剂耐药性的新型联合治疗策略。

图5:KRAS抑制剂通过NLRX1依赖性线粒体自噬增强耐药性
小结
这项研究首次确立了细胞浆AcCoA作为信号分子的全新角色,并揭示了其通过受体NLRX1调控线粒体自噬的精细分子机制。它巧妙地将细胞代谢状态与细胞器质量控制联系起来,回答了领域内长期存在的关键问题。
这项研究为我们理解营养感应、细胞稳态维持以及肿瘤代谢提供了全新视角。未来,探索AcCoA-NLRX1轴在衰老、神经退行性疾病等过程中的作用,将带来更多激动人心的发现。而对于癌症治疗而言,针对这一通路的干预策略,或许正孕育着下一代抗癌疗法的新希望。

中科优品推荐
【中科新生命】建立了完整的代谢组学服务平台,包括空间代谢组学、非靶向代谢组学、靶向/高通量靶向代谢组学、代谢流,帮助老师从代谢物角度系统地解析数据,挖掘关键生物学信息。欢迎感兴趣的老师前来咨询。

关于中科新生命
上海中科新生命生物科技有限公司(APTBIO)创立于 2004 年,由原中国科学院上海生命科学研究院蛋白质组研究中心孵化而来,是国内质谱多组学应用领域的开拓者。公司以 “AI + 质谱多组学” 双核驱动创新,构建智能化组学生态。拥有自主知识产权的质谱检测平台与 AI 大数据分析系统,聚焦科技服务、生物医药及大健康消费三大领域,为全球科研机构、医院、药企提供从基础研究到临床转化的一站式解决方案。融合多组学技术与人工智能,围绕生物标志物发掘、药物靶点筛选及个性化诊疗等方向,构建具有国际竞争力的组学数据库与算法模型,推动转化医学进程,加速创新药物研发,成为推动生命科学数字化升级的核心引领者。