18 年
手机商铺
公司新闻/正文
54 人阅读发布时间:2026-01-30 10:41

针对不明原因反复自然流产(RSA),蜕膜化缺陷是关键机制但缺乏代谢层面的因果解释。有前期研究发现,RSA患者蜕膜组织中氧化三甲,胺(TMAO)及其前体胆碱代谢物显著下降,而血浆水平正常,提示该物质有局部合成障碍。这为探索子宫内膜能否自主合成TMAO、该TMAO是否直接调控蜕膜化、以及补充TMAO能否纠正缺陷提供了核心研究契机。
2026 年 1 月 8 日,上海交通大学医学院附属新华医院赵健元/李博研究员、复旦大学附属妇产科医院金莉萍教授、上海交通大学医学院附属国际和平妇幼保健院李明清教授等联合在Cell Metabolism期刊发表题为“Endometrial stromal cell-derived TMAO sustains decidualization to prevent recurrent spontaneous abortion”的研究论文。该研究首次揭示了蜕膜组织中TMAO代谢失调导致RSA的分子机制,而补充TMAO可挽救部分RSA患者子宫内膜基质细胞(ESC)的蜕膜化缺陷,从而为部分病因不明的RSA患者带来简单、精准的潜在治疗策略。

研究材料
人子宫内膜组织及分离原代ESC,人早孕蜕膜组织及分离蜕膜基质细胞/蜕膜免疫细胞,人血浆,小鼠子宫、胚胎、肝组织
研究步骤
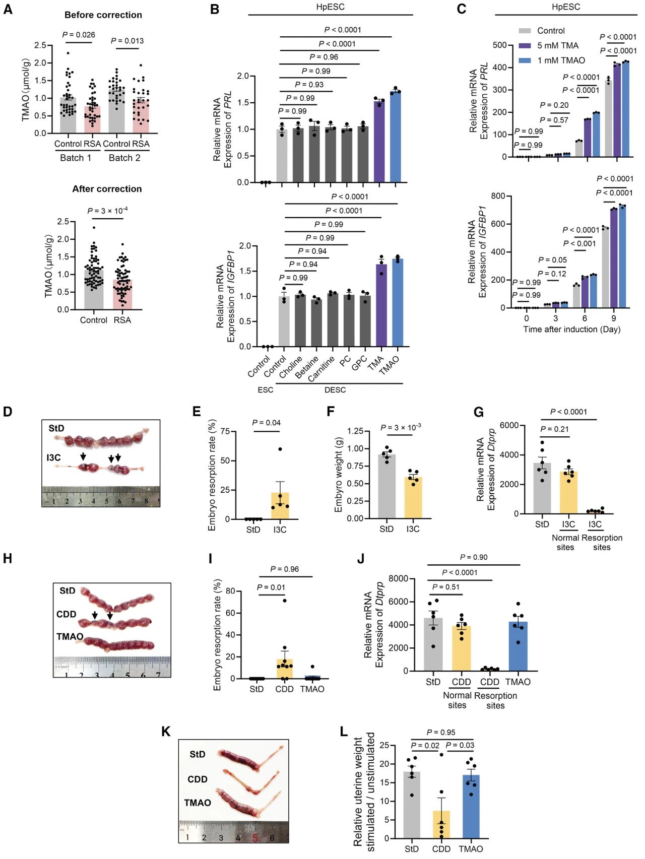
步骤1:临床代谢组——收集68例正常与RSA蜕膜,发现RSA中胆碱-TMAO整体下降;
步骤2:体外筛选——原代ESC诱导蜕膜化,仅TMAO显著上调催乳素(PRL)与胰岛素样生长因子结合蛋白质-1(IGFBP1);
步骤3:小鼠模型——含黄素的单氧化酶3(FMO3)抑制剂、胆碱缺乏或子宫特异Fmo3敲除,增加胚胎吸收率,TMAO补充可逆转胆碱缺乏引起的蜕膜化缺陷和妊娠丢失;
步骤4:机制解析——cAMP-PKA-CREB1驱动FMO3;TMAO绑定14-3-3η→抑制PDK1→AKT↓→FOXO1核转位;
步骤5:临床验证——RSA蜕膜CREB1-p低、FMO3低、p-FOXO1高;60例RSA内膜15%体外蜕膜化失败被1mM TMAO逆转,低血肌酐为标志。
研究结果
1. TMAO是特异性调控蜕膜化并关联RSA的关键代谢物
在两个批次、共68对蜕膜样本中,RSA患者蜕膜里所有胆碱相关代谢物(胆碱、磷酸胆碱、甘油磷酸胆碱、TMAO)全都显著低于正常对照,且幅度一致,批间校正后仍显著。说明RSA患者的蜕膜不是缺某一项胆碱代谢物,而是整个胆碱-TMAO生产线集体掉线。
表1 在两个批次中,来自RSA或正常对照个体的蜕膜中胆碱相关代谢物浓度

RSA患者蜕膜组织中TMAO浓度显著降低(约下降24%)。体外实验中,仅TMAO能有效促进蜕膜标志物表达,并呈剂量和时间依赖性(1mM TMAO才有效,体内浓度从1.1µmol/g降至0.85µmol/g已低于有效窗口)。动物模型进一步证明:抑制FMO3酶活性导致子宫TMAO减少,会显著增加胚胎吸收率、降低蜕膜标志物表达;而直接口服补充TMAO可逆转胆碱缺乏引起的蜕膜化缺陷和妊娠丢失。这些结果共同揭示了局部TMAO缺乏是RSA的重要代谢病因,提示TMAO是蜕膜化过程的内源性守门分子。

图1 TMAO而非其他与胆碱相关代谢产物促进了脱落过程
2. FMO3是妊娠在子宫本地安装的‘TMAO合成开关’
在正常妊娠中,FMO3在蜕膜基质细胞(DSC)中特异性高表达,其蛋白水平随孕周同步上升,并驱动蜕膜局部TMAO浓度升高。然而,在RSA患者中,蜕膜组织的FMO3在mRNA和蛋白水平均显著下调约50%,导致TMAO合成“开关失灵”。动物实验验证:子宫特异性敲除Fmo3的小鼠,其子宫TMAO水平下降70%,并重现了胚胎吸收率升高、蜕膜化缺陷及胚胎生长受限等典型RSA表型。这些证据共同确立了“子宫FMO3表达下调→局部TMAO合成不足→蜕膜化失败→妊娠丢失”的致病轴。

图2 TMAO浓度的增加取决于怀孕期间FMO3表达的动态变化
3. FMO3的转录在蜕膜中表现出PKA-CREB1依赖性激活
揭秘“cAMP–PKA–CREB1→FMO3→TMAO”这一蜕膜化关键轴:研究团队先用qPCR与WB筛选出仅cAMP而非雌/孕激素可时间依赖性地上调FMO3表达;加入PKA抑制剂H89或siRNA敲低CREB1后,cAMP的诱导作用被完全取消,证明PKA及其下游转录因子CREB1为必需。EMSA和荧光素酶报告基因进一步锁定FMO3启动子+102/+114位点是功能性CRE元件;ChIP显示在正常蜕膜中CREB1与该区域结合,而RSA患者样本中此结合显著减少,且p-CREB1(S133)和FMO3蛋白均降低。功能层面,cAMP+TMA刺激可大幅提升蜕膜化标志PRL,若抑制PKA、敲低CREB1或沉默FMO3,则PRL升高被阻断,表明cAMP-PKA-CREB1轴通过驱动FMO3表达,使TMA转化为TMAO,从而保障蜕膜化;RSA患者因CREB1磷酸化/结合缺陷导致该通路受损,是局部TMAO不足的重要原因。

图3 FMO3的转录在蜕膜中表现出PKA/CREB1依赖性激活
4. TMAO促进了FOXO1的核转移
TMAO剂量依赖性地抑制AKT通路,降低FOXO1在S256位点的磷酸化水平,从而导致FOXO1去磷酸化并移位入核,进而启动蜕膜化关键基因(如PRL和IGFBP1)的表达。抑制FOXO1可完全阻断TMAO的促蜕膜化作用。临床样本验证显示,RSA患者蜕膜组织中磷酸化FOXO1水平异常升高,提示FOXO1被“锁定”在失活的胞质状态,这与局部TMAO缺乏的病理特征一致。该发现阐明了TMAO调控蜕膜化的核心下游分子机制。

图4 TMAO促进了FOXO1的核转移
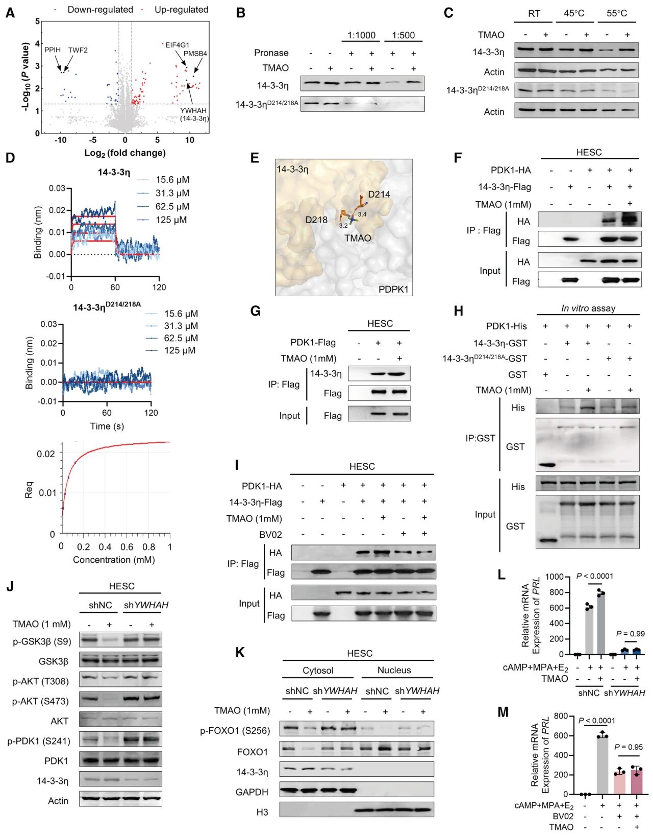
5. TMAO直接与14-3-3η相互作用,增强14-3-3η-PDK1相互作用,从而提高FOXO1转录活性
通过蛋白质组学锁定14-3-3η蛋白为TMAO的物理结合靶点,并确认其关键作用位点为D214/D218。TMAO结合后,能显著增强14-3-3η与其下游激酶PDK1的相互作用。这种“分子胶”效应并非通过改变PDK1自身的磷酸化水平,而是通过稳定14-3-3η-PDK1复合体,进而抑制下游AKT激酶活性,最终导致FOXO1去磷酸化、核转位并启动蜕膜化基因表达。功能上,无论是敲低14-3-3η还是使用小分子抑制剂BV02来破坏这一蛋白-蛋白相互作用,均能完全阻断TMAO的促蜕膜化作用。这阐明了TMAO通过变构稳定14-3-3η-PDK1复合物来精确调控蜕膜化信号通路的独特分子机制。

图5 TMAO直接与14-3-3η相互作用,增强14-3-3η-PDK1相互作用,从而提高FOXO1转录活性
6. 15%RSA患者的蜕膜化可被TMAO瞬间复活——低肌酐指纹精准锁定获益人群
体外补充TMAO可精准挽救15%RSA患者的蜕膜化缺陷,其标志是FOXO1核转位恢复;低血清肌酐或可成为预测受益者的临床生物标记,为“代谢分型-精准营养”干预RSA提供了直接依据。

图6 TMAO挽救了一些RSA患者的脱落情况
总结
该研究发现子宫内膜基质细胞经cAMP-CREB1信号诱导FMO3,局部合成TMAO,绑定14-3-3η抑制PDK1,促使FOXO1去磷酸化入核,驱动蜕膜化。RSA患者该轴下调,TMAO降低;小鼠子宫特异性敲除Fmo3可复现流产。体外15%RSA患者蜕膜化缺陷被1mM TMAO挽救,低血肌酐为标志,提示TMAO补充可精准治疗部分RSA。


中科优品推荐
【中科新生命】推出的H800医学高通量靶向代谢组产品,精准定性,绝对定量及结果无需验证的特点,一次满足您的代谢组学研究需求,检测范围覆盖800种重要功能及代谢物,覆盖核心代谢通路。
