18 年
手机商铺
公司新闻/正文
131 人阅读发布时间:2026-01-28 10:57

心理压力(例如焦虑和抑郁)与肝脏疾病的关联日益受到关注,但其与肝脏疾病发生发展之间的因果关系及潜在机制尚不清楚。因此,进一步阐明慢性压力对相关器官和细胞类型的影响及调控网络,将为包括肝脏疾病在内的疾病的早期预防和综合治疗提供新的思路。
2026年1月19日,山东大学基础医学院梁晓红团队在Nature Metabolism(IF=20.8)发表题为“Chronic stress drives liver cancer by impairing the hepatic kynurenine pathway and immune surveillance”的文章,发现慢性心理压力可通过CD8+T细胞依赖性的方式加速肝癌进展,机制上,作者通过代谢组学/转录组学技术发现慢性心理压力通过“儿茶酚胺-ADRB2-QPRT”轴扰乱肝脏“色氨酸-犬尿氨酸代谢”通路,进而破坏CD8⁺T细胞线粒体功能,从而加速肝癌发展。

研究材料
野生型小鼠和多种转基因小鼠、慢性不可预知温和应激(CUMS)模型、多种肝癌模型(致癌基因诱导模型、化学诱导模型、肝转移模型、细胞过继转移模型)、细胞系(MC38细胞、EL4细胞)、临床肝组织样本(34名肝细胞癌患者)
技术路线
步骤1:利用动物模型发现压力加速肝癌进展,且依赖于CD8+T细胞;
步骤2:通过代谢组学发现压力扰乱肝细胞色氨酸-犬尿氨酸代谢通路;
步骤3:阐明上游神经信号—压力通过“儿茶酚胺-ADRB2”轴触发代谢紊乱;
步骤4:阐明下游免疫损害机制—代谢失衡破坏CD8⁺ T细胞线粒体功能;
步骤5:临床肝癌样本和人肝脏类器官模型进行相关性分析和功能性验证。
研究结果
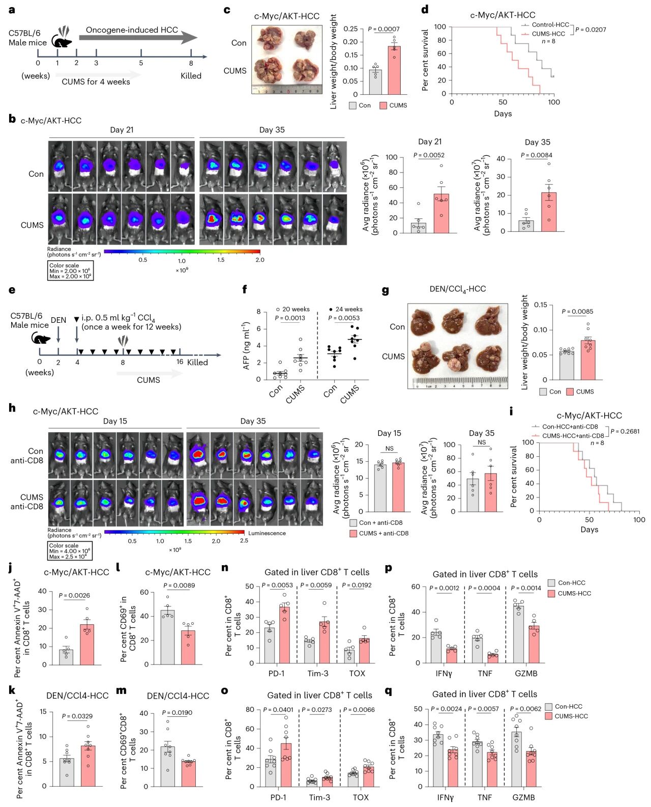
1. 压力加速肝癌进展,且依赖于CD8+T细胞
作者首先使用CUMS小鼠模型,证实心理压力能加速多种肝癌模型(致癌基因诱导、化学诱导及转移模型)的肿瘤生长,并缩短生存期。通过细胞剔除实验证明,压力对肝癌的促进作用依赖于肝脏CD8+T细胞,而非B细胞。压力状态下,肝脏CD8+T细胞表现出数量减少、凋亡增加、功能耗竭以及效应功能下降。

图1 心理压力破坏肝脏CD8+T细胞稳态以加速肝癌进展
2. 压力扰乱肝细胞色氨酸-犬尿氨酸代谢通路
作者接着利用代谢组学分析发现,压力小鼠的肝脏代谢谱发生显著改变,其中色氨酸-犬尿氨酸代谢通路是最受影响的通路之一。肝细胞中负责将犬尿氨酸转化为NAD+的关键酶QPRT表达下降,导致代谢流向失衡(NAD+减少,犬尿喹1啉酸KA积累)。

图2 心理压力破坏肝细胞色氨酸-犬尿氨酸代谢通路
3. 压力通过“儿茶酚胺-ADRB2”轴触发代谢紊乱
压力导致交感神经释放的儿茶酚胺作用于肝细胞表面的β2-能受体ADRB2,抑制ADRB2信号传导,进而降低其下游的cAMP-CREB信号活性,导致QPRT基因的转录减少。在肝细胞中特异性敲除Adrb2基因,能模拟压力效应,加速肝癌并损害CD8+T细胞,而过表达Adrb2或Qprt基因,则能逆转压力带来的危害。

图3 心理压力通过儿茶酚胺-ADRB2信号通路触发代谢紊乱
4. 代谢失衡破坏CD8+T细胞线粒体功能
作者对CUMS小鼠和对照小鼠中分离纯化的CD8+T细胞开展转录组学,发现压力导致的肝细胞代谢失衡(NAD+降低,KA升高)直接损害了邻近CD8+T细胞的线粒体功能。补充NAD+前体(烟酰胺,NAM)并阻断KA信号(使用AHR抑制剂),可以恢复CD8+T细胞的线粒体功能和抗肿瘤能力,从而抵消压力的促癌作用。

图4 心理压力诱导的犬尿氨酸代谢失衡破坏肝脏CD8+T细胞线粒体功能
5. 临床样本中的相关性和功能验证
在人类肝癌患者的癌旁正常肝组织中发现,ADRB2与QPRT的表达呈正相关,且两者高表达与患者更好的生存预后相关。ADRB2/QPRT的高表达与肝细胞内更高的NAD+水平、更低的KA水平,以及更优的CD8+T细胞数量、活性和功能显著相关。此外,在人肝脏类器官模型中进行功能性验证发现,过表达ADRB2或QPRT能够改善代谢环境,并增强共培养的CD8+T细胞的功能。

图5 肝细胞ADRB2-QPRT轴与人肝组织中犬尿氨酸代谢平衡及CD8+T细胞稳态相关
总结
作者利用动物模型确定了慢性压力通过破坏肝细胞色氨酸代谢稳态,损害肝脏CD8+T细胞的存活和效应功能,并促进HCC进展。机制上,CUMS引发的ADRB2信号失调导致QPRT减少和犬尿氨酸通路失衡。此外,在人肝组织中,肝细胞ADRB2和QPRT表达、Kyn通路代谢物与CD8+T细胞稳态之间存在显著相关性。这些发现揭示了肝脏代谢-免疫稳态的一条调控通路,该通路构成了压力驱动的肝脏合并症的基础。
中科优品推荐
【中科新生命】的多组学服务业务可为各位研究者提供详细的“实验设计、样本检测、生信分析、数据解读与挖掘”等工作,为您深入进行科学研究,发表高分文章,为后续临床转化奠定基础。

关于中科新生命
上海中科新生命生物科技有限公司(APTBIO)创立于 2004 年,由原中国科学院上海生命科学研究院蛋白质组研究中心孵化而来,是国内质谱多组学应用领域的开拓者。公司以 “AI + 质谱多组学” 双核驱动创新,构建智能化组学生态。拥有自主知识产权的质谱检测平台与 AI 大数据分析系统,聚焦科技服务、生物医药及大健康消费三大领域,为全球科研机构、医院、药企提供从基础研究到临床转化的一站式解决方案。融合多组学技术与人工智能,围绕生物标志物发掘、药物靶点筛选及个性化诊疗等方向,构建具有国际竞争力的组学数据库与算法模型,推动转化医学进程,加速创新药物研发,成为推动生命科学数字化升级的核心引领者。