18 年
手机商铺
公司新闻/正文
443 人阅读发布时间:2024-05-10 13:29

肝细胞癌(HCC)是最常见的原发性肝癌类型,死亡率高,预后差。早期HCC患者的五年生存率高达70%,而发生转移的HCC患者的平均生存期仅约1.5年,并且转移性HCC对药物治疗具有更强的耐药性。环形RNA (Circular RNAs, circRNAs) 是一类共价闭合的单链RNA分子,已经有一系列circRNAs被证实在肿瘤的发生发展中发挥着重要的调控作用。但是绝大多数已知在肿瘤中具有重要功能的circRNAs在物种间的保守性不高,这在一定程度上限制了利用动物模型对其功能及机制进行深入研究。
近期中国科学技术大学生命科学学院单革教授团队与浙江大学医学院附属邵逸夫医院蔡秀军教授团队合作在《Advanced Science》(IF15.1)上联合发表了题为“A Mammalian Conserved Circular RNA CircLARP1B Regulates Hepatocellular Carcinoma Metastasis and Lipid Metabolism”的研究论文。研究团队发现,哺乳动物保守的circRNA,circLARP1B,被证实在HCC中发挥关键作用。通过一系列生物信息学、分子、生化和细胞分析,及转基因小鼠模型,发现circLARP1B在HCC中具有可增强细胞脂质积累和癌症转移特性。具体机制为,circLARP1B干扰了异质性核核糖核蛋白D(HNRNPD)与肝激酶B1(LKB1) 3’端非编码区的结合,从而导致LKB1 mRNA的不稳定,进而调控了一条对HCC转移和脂质代谢至关重要的途径。中科新生命为该研究提供了非靶代谢组学和脂质组学的检测服务。

研究材料
肝癌组织临床标本、C57BL/6J系小鼠、ICR系小鼠
步骤1:研究circLARP1B在HCC中的功能;
步骤2:研究circLARP1B的细胞功能;
步骤3:挖掘circLARP1B潜在的作用分子及机制;
步骤4:研究HNRNPD 结合在circLARP1B功能中的作用;
步骤5:研究HNRNPD 和circLARP1B在HCC中的分子机制;
步骤6:研究HNRNPD 和circLARP1B调节LKB1 mRNA稳定性的方式;
步骤7:研究circLARP1B在动物中的生理作用;
步骤8:研究在机体水平上circLARP1B在HCC上的生理作用;
步骤9:研究circLARP1B在小鼠肝癌模型中作用的关键因素;
步骤10:LKB1是circLARP1B在HCC中作用的关键靶点。
研究结果
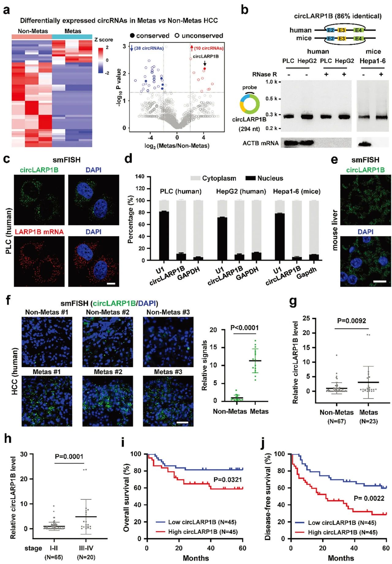
1. circLARP1B作为一种哺乳动物保守的circRNA,在HCC转移中被鉴定出来
研究人员对6例HCC标本进行RNA-seq检测,得出circLARP1B是差异表达最大的,也是表达上调circRNA,并且在人和小鼠中高度保守,由La核糖核蛋白1B(LARP1B)基因的外显子2-4组成。
从NCBI和CircAtlas数据库分析中得出,circLARP1B和LARP1B在人体组织中表现出不同的表达模式,揭示了LARP1B mRNA可能不是HCC的关键调控因子;转移性HCC标本中circLARP1B水平高于非转移性标本,且较高水平的circLARP1B与肿瘤转移转移、肿瘤进展以及生存率低密切相关(图1)。综上所述,circLARP1B作为一种哺乳动物保守的circRNA可能在HCC转移中发挥促进作用。

图1 哺乳动物保守的circLARP1B在HCC转移中的特征分析
2. circLARP1B通过脂肪酸合成调节细胞侵袭和脂质积累
研究人员通过获得circLARP1B缺陷(circLARP1B-Def)PLC细胞,来研究circLARP1B细胞的功能;结果显示,与野生型(WT)PLC细胞相比,circLARP1B-Def PLC细胞的circLARP1B水平显著降低,而LARP1B mRNA水平无变化,但侵袭能力较WT-PLC细胞却显著降低;通过液相色谱-质谱(LC-MS)非靶向代谢组学评估了circLARP1B-Def PLC细胞中潜在的代谢改变。在6种受到显著影响的代谢途径中,脂质代谢受到的干扰最大;接下来,研究人员进行脂质组学来检测脂质组成,检测到24种失调脂类;为了进一步探索circLARP1B促进脂质积累的机制,研究人员用13C标记的代谢流实验,评估了缺陷型细胞和野生型细胞中的脂质代谢情况。结果分析显示,共检测到17种具有13C标记的脂肪酸,且均在circLARP1B-Def细胞中显著降低,表明circLARP1B对脂肪酸合成(FAS)有促进作用(图2)。综上所述,circLARP1B促进了细胞的脂质积累。

图2 circLARP1B介导脂肪酸合成调控细胞侵袭和脂质积累
3. circLARP1B与HNRNPD蛋白相互作用
研究人员通过检测circLARP1B潜在的相互作用分子来阐明其作用机制,AGO2的RNA免疫沉淀(RIP)分析揭示circLARP1B具有有限的miRNA结合能力。此外,circLARP1B具有有限的蛋白翻译能力;接下来,研究人员使用生物素探针,筛选出circLARP1的互作蛋白——HNRNPD;通过绘制circLARP1B中HNRNPD的结合位点,发现circLARP1B中基序1或基序2的突变降低了两者之间的相互作用,而两个基序的双突变则直接消除了相互作用(图3)。综上所述,具有两个功能位点的circLARP1B可以与大量的细胞质HNRNPD相互作用,但是circLARP1B和HNRNPD不相互调节对方的表达或稳定性。

图3 circLARP1B通过两个结合位点与HNRNPD互作
4. circLARP1B通过结合HNRNPD发挥功能作用
研究人员研究了HNRNPD结合在circLARP1B功能中的作用,发现过表达circLARP1B可以挽救circLARP1B-Def细胞被抑制的细胞侵袭和LD形成,而HNRNPD的过表达抑制了细胞侵袭和LD的形成。与HNRNPD一起过表达circLARP1B可阻断HNRNPD对细胞侵袭、LD形成以及p-AmpK和p-Acc1水平的影响(图4)。综上所述,circLARP1B可能通过结合和调节HNRNPD来发挥作用。

图4 circLARP1B的作用依赖于对HNRNPD的结合
5. circLARP1B通过干扰HNRNPD使LKB1 mRNA失调
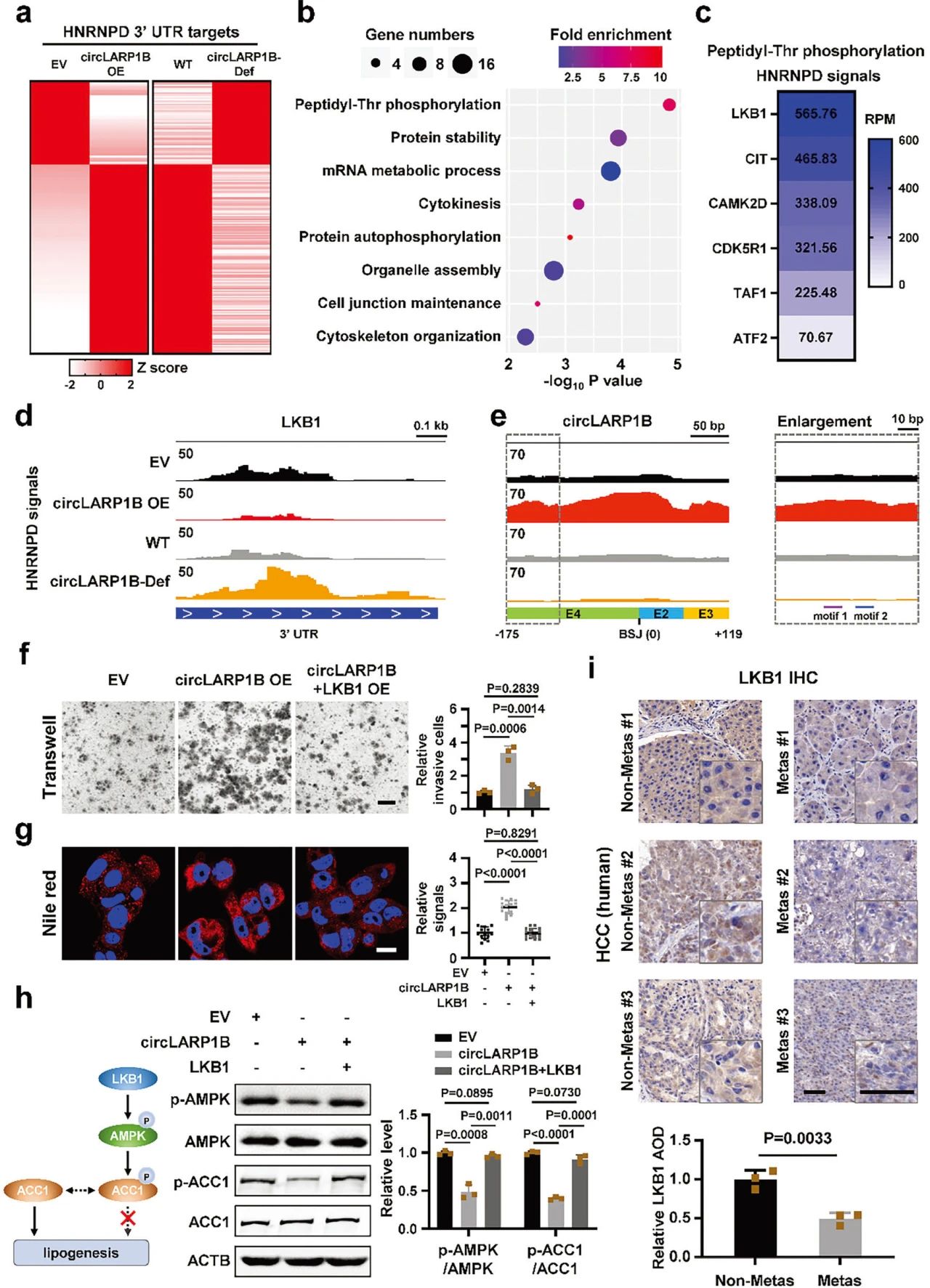
研究人员通过对内源性表达的HNRNPD进行RIP并进行 RNA-seq,结果显示mRNA靶标上的分布主要显示在3‘UTR,这与HNRNPD的功能作用一致,而circLARP1B与该蛋白的结合能力相对较弱;此外,还发现circLARP1B缺失会促进HNRNPD结合LKB1,而circLARP1B过表达则相反。过表达的LKB1阻断了circLARP1B促进细胞侵袭和LD形成的作用,也几乎消除了circLARP1B对p-AmpK和p-Acc1水平的影响。与非转移性HCC标本相比,转移性HCC标本中的LKB1蛋白水平较低。(图5)。综上所述,LKB1 mRNA是circLARP1B的下游靶点,二者的功能作用相反。

图5 LKB1 mRNA是circLARP1B的下游靶点
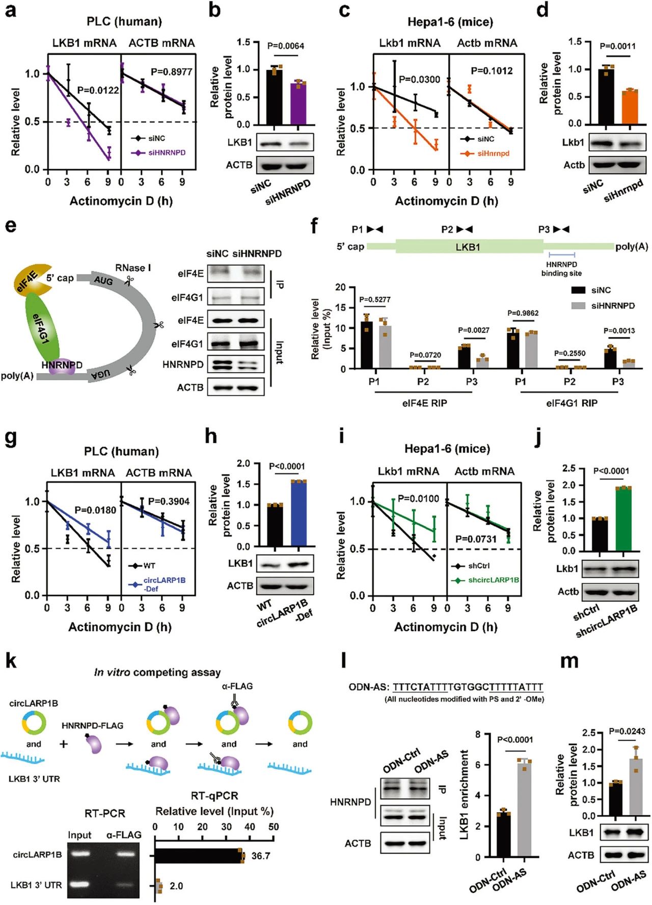
6. circLARP1B与LKB1 mRNA竞争性结合HNRNPD结合并导致LKB1 mRNA失调
研究人员用siRNA敲除HNRNPD后,PLC和Hepa1-6细胞中LKB1 mRNA的半衰期和LKB1蛋白水平均显著降低,表明HNRNPD正向调控LKB1 mRNA稳定。而在circLARP1B敲低却能增加LKB1 mRNA的稳定性和蛋白水平,过表达则相反。综上所述,circLARP1B虽然不影响HNRNPD表达,但会抑制LKB1表达,具体机制在于circLARP1B可以阻断HNRNPD对LKB1基因稳定的促进作用。

图6 circLARP1B通过干扰HNRNPD降解LKB1 mRNA
7. CircLARP1B缺陷导致Lkb1过剩引起的肝脏改变
研究人员使用CRISPR/Cas9技术建立circLARP1B缺陷小鼠(circLARP1B−/−)模型,缺陷型小鼠肝脏中CircLARP1B的表达显著降低,而Larp1b的总水平和新生水平没有改变;通过油红O染色检测发现,缺陷型小鼠肝脏中的LDs显著降低,而p-Ampk和p-Acc1的蛋白水平显著升高(图7)。综上所述,circLARP1B表达水平与肝脏生理状态有关。

图7 小鼠CircLARP1B缺陷导致Lkb1过剩引起的肝脏改变
8. 小鼠circLARP1B缺陷阻碍HCC转移和脂质堆积
研究人员为了在机体水平上研究CircLARP1B在HCC中的生理作用,使用二乙基亚硝胺(DEN)诱导小鼠HCC,在DEN诱导18周后(HCC),与WT小鼠相比,circLARP1B−/−小鼠的肝脏肿瘤结节更少、更小,肺转移结节也明显更小,抗转移标志物e-钙粘蛋白升高。在circLARP1B−/−HCC小鼠中,与HCC相关的生物标志物均有降低(图8)。上述证据表明,敲低circLARP1B水平能够抑制HCC脂质积累和转移。

图8 CircLARP1B缺陷阻碍小鼠HCC转移和脂质累积
9. LKB1是CircLARP1B在小鼠肝癌模型中作用的关键因素
circLARP1B−/−HCC小鼠模型显示,敲低Lkb1可诱发HCC,表现为促进肝肿瘤增生和肺淋巴结转移及Vim水平升高,e-钙粘蛋白升高降低,与WT的HCC小鼠一致。研究人员在circLARP1B−/−HCC小鼠肝脏中观察到p-Ampk和p-pAcc1水平的升高,而这种情况在Lkb1被敲除后也被根除(图9)。这些结果揭示了Lkb1作为关键因子参与肝细胞中circLARP1B介导HCC脂质代谢和转移过程。

图9 肝细胞中CircLARP1B基因敲除抑制小鼠HCC转移和脂质蓄积
10. HNRNPD、LKB1和AMPK在HCC中的临床意义
在研究人员收集到的临床标本中,其中23例转移性肝癌标本中HNRNPD表达水平显著升高,肿瘤中LKB1 mRNA表达水平较高的肝癌患者的OS和DFS显著延长,而转移性和非转移性肿瘤组织中LKB1 mRNA表达水平无统计学差异(图10)。据此可推断出,上游机制可能上调HNRNPD和circLARP1B在转移性肝癌中的表达,而LKB1是circLARP1B在HCC中作用的关键靶点。

图10 LKB1是circLARP1B在HCC中作用的关键靶点
小结
在这项研究中,研究人员通过RNA-seq发现了在转移HCC患者的肿瘤组织中高表达的保守环形RNA circLARP1B。circLARP1B在预后和总生存期较差的患者中高表达,可促进肝癌细胞的脂质积累和侵袭。在诱导的HCC小鼠模型中,敲除或敲低circLARP1B小鼠HCC的发生发展进程均受到抑制,同时会减少癌症转移和脂质积累。人、鼠中的circLARP1B竞争性地结合细胞质中HNRNPD蛋白,从而降低LKB1 mRNA的稳定性和其蛋白水平,进而降低AMPK/ACC蛋白的磷酸化,最终促进HCC细胞的脂质积累和侵袭。揭示了circLARP1B可以作为HCC恶性程度诊断标志物,甚至可能成为HCC的潜在治疗靶点。
中科优品推荐
【中科新生命】建立了完整的代谢组学服务平台,其中非靶代谢组plus产品使用优质平台和高质海量自建标准品数据库,采用严格的代谢物鉴定标准和要求,云平台交互式分析,更有多篇顶刊项目文章(CELL等)加持,助您分析无忧。欢迎感兴趣的老师前来咨询