18 年
手机商铺
公司新闻/正文
652 人阅读发布时间:2023-10-19 09:28

自上世纪70年代以来,果葡糖浆开始工业化生产,并广泛应用于食品和含糖饮料中,导致果糖的摄入量剧增。高果糖摄入与肥胖、糖尿病和脂肪肝、心血管疾病和癌症的发病率不断上升密切相关。流行病学研究指出,高果糖摄入与肝细胞癌(HCC)风险正相关。但高果糖在HCC发展中的作用和分子机制尚不明确。
2023年10月,重庆医科大学感染性疾病分子生物学教育部重点实验室黄爱龙/唐霓团队在代谢领域权威期刊Cell Metabolism(IF 29)上在线发表了题为“High dietary fructose promotes hepatocellular carcinoma progression by enhancing O-GlcNAcylation via microbiota-derived acetate”的论文,详细揭示了果糖促进HCC进展的分子机制。中科新生命深度参与研究,共同署名并为该研究提供了非靶代谢组和O-糖基化修饰蛋白质组技术服务。

研究材料
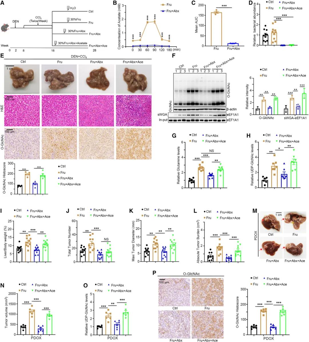
饮食果糖或未饮食果糖的HCC小鼠模型肝组织和肿瘤组织
技术路线
步骤1:检测化学诱导的HCC小鼠模型在摄入果糖后的肝脂肪变性和肿瘤负荷;
步骤2:利用代谢组检测果糖摄入改变HCC小鼠肝脏代谢特征;
步骤3:检测果糖来源的碳是否参与肿瘤的谷氨酰胺积累;
步骤4:检测谷氨酰胺合成酶(GLUL)在乙酸盐诱导的O-糖基化和HCC进展的关键作用;
步骤5:利用O-糖基化修饰蛋白质组检测高果糖摄入引起的变化;
步骤6:检测果糖诱导的eEF1A1和CAPNS1的O-糖基化促进细胞增殖和HCC进展;
步骤7:检测肠道菌群乙酸盐在O-糖基化增强和HCC进展中的作用。
主要内容
1. 果糖加速小鼠肝癌的肿瘤进展
研究者给野生型和二乙基亚硝胺(DEN)和CCl4诱导的肝细胞癌(HCC)小鼠饮用含或不含30%果糖(Frucose)的饮用水10周后,检测小鼠肝脏的脂肪变性和肿瘤负荷。结果显示DEN+CCl4+Fru的小鼠有更显著的体重增加、更严重的肝损伤和纤维化,以及更高的肿瘤负荷,但并无血清甘油三酯(TG)的升高、糖耐受障碍和过量的糖原积累。

图1 高果糖摄入促进化学诱导的小鼠HCC模型的肿瘤进展
2. 高果糖诱导的O-糖基化促进HCC进展
(1)代谢组检测
研究者对肝组织和肿瘤组织进行了非靶代谢组检测,以揭示果糖是否诱导代谢微环境改变进而影响HCC进展。结果显示,高果糖摄入改变了肝的代谢组特征。与此前的结果一致,在WT+Fru小鼠而非DEN+CCl4+Fru中有显著的脂质和脂质样分子积累。与DEN+CCl4小鼠相比,DEN+CCl4+Fru抗坏血酸和醛酸代谢、戊糖磷酸途径和嘧啶代谢通路中的代谢物在DEN+CCl4+Fru中显著上调。如参与嘧啶代谢的谷氨酰胺、UDP、UMP和dUMP在DEN+CCl4+Fru中显著上调。

图2-1 代谢组差异分析及嘧啶代谢和己糖胺合成途径(HBP)相关代谢物分析
(2)O-糖基化水平检测
O-GlcNAc糖基化(以下简称O-糖基化)是一种发生在丝氨酸和苏氨酸上的可逆的翻译后修饰,它的水平是高度营养敏感的,且依赖于其前体UDP-GlcNAc(己糖胺合成途径(HBP)的终产物)。目前已报道,O糖基化参与多种肿瘤进展。鉴于多种HBP代谢物在果糖摄入后发生显著变化,研究者接下来探究果糖对O-糖基化的调控。首先发现DEN+CCl4+Fru而非WT+Fru的小鼠肝组织中有更强的O-糖基化。随后,研究者敲除了肝组织中的Ogt(O-GlcNAc糖基转移酶)基因。与未敲除Ogt的Fru组小鼠相比,Ogt敲除后的Fru组小鼠的肝组织中有显著降低的Ki-67阳性细胞数、血清丙氨酸氨基转移酶(ALT)和天冬氨酸转移酶(AST)、肝脏与体重比、最大肿瘤大小和绝对的肿瘤负荷。综合以上表明,高果糖摄入通过增强O-糖基化促进HCC进展。

图2-2 高果糖摄入改变肝组织代谢特征并通过嘧啶合成途径增强肝组织O-糖基化
3. 果糖来源的碳促进肿瘤的谷氨酰胺累积
研究者通过U-13C-标记的果糖对小鼠进行灌胃,结果发现与WT+Fru小鼠相比,DEN+CCl4+Fru小鼠有更高的13C标记的谷氨酸盐和谷氨酰胺。此外,分析TCA循环中间代谢产物发现,在DEN+CCl4+Fru小鼠中TCA循环显著增强。以上结果表明,在果糖富裕的环境中,HCC细胞利用果糖来源的碳源提高谷氨酰胺合成。

图3 果糖来源的碳通过TCA循环促进从头谷氨酰胺合成
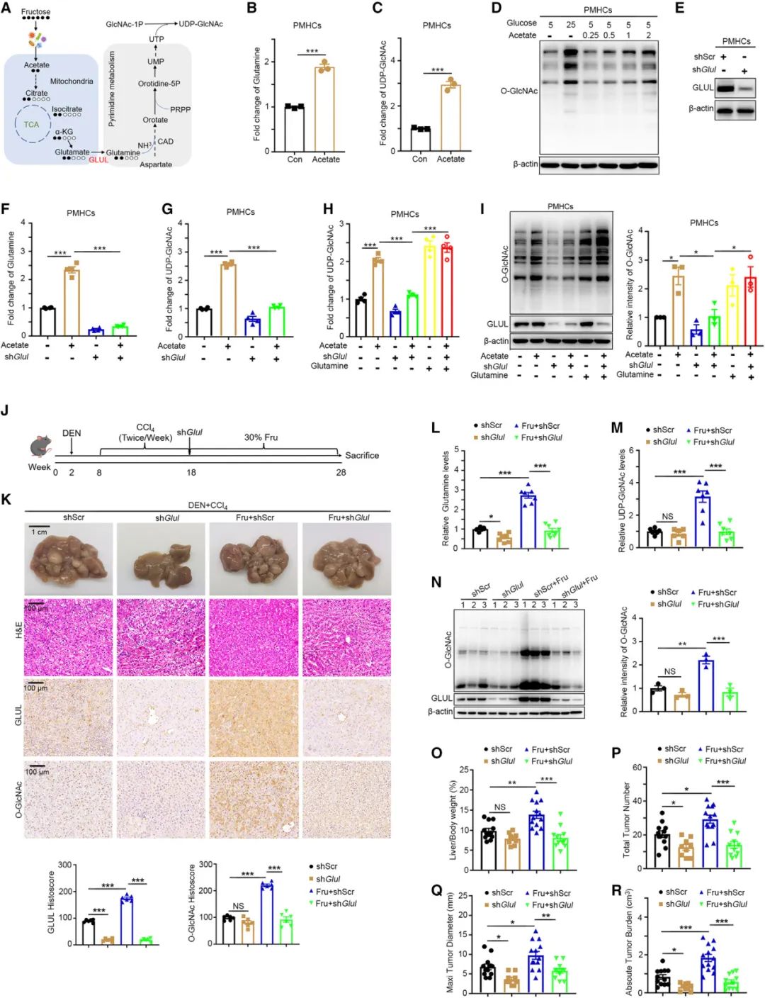
4. GLUL是乙酸盐诱导的O-糖基化和HCC进展的关键蛋白
为探究果糖来源的乙酸盐是否参与谷氨酰胺积累,研究者分离原代肝细胞(PMH)和原代肝癌细胞(PMHC),并在体外用乙酸盐进行处理,结果在原代肝癌细胞中检测到了上调的谷氨酰胺和UDP-GlcNAc。原代肝癌细胞和肝癌细胞系HepG2细胞中总O-糖基化的水平以乙酸盐浓度依赖的形式上调。而在原代肝细胞中,则无明显变化。这表明,是肝癌细胞而非肝细胞通过利用外源性的乙酸盐促进细胞O-糖基化。考虑到谷氨酰胺合成酶(GLUL)参与合成的谷氨酰胺在UTP合成中的重要作用,研究者假设GLUL在乙酸盐诱导的HCC细胞O-糖基化中起到关键作用。GLUL敲低导致原代肝癌细胞中谷氨酰胺和UDP-GlcNAc下调。而谷氨酰胺的再补充则挽救了GLUL敲低导致的UDP-GlcNAc和O-糖基化水平下调。更进一步,敲低GLUL显著下调谷氨酰胺、UDP-GlcNAc和O-糖基化。果糖诱导的HCC进展也被抑制。综合以上表明,GLUL对饮食果糖诱导的HCC发展是关键的。

图4 GLUL在乙酸盐诱导的O-糖基化中其关键作用,敲低GLUL抑制果糖介导的HCC进展
5. O-糖基化蛋白组揭示高果糖摄入引起的变化
研究者采用O-糖基化修饰蛋白质组检测了摄入果糖(n=3)和未摄入果糖(n=3)的DEN+CCl4诱导的肝癌小鼠的肿瘤组织中的分子变化。共检测到284个O-糖基化蛋白上的1224个O-糖基化位点。定量分析发现,DEN+CCl4+Fru组的O-糖基化蛋白表达强度高于DEN+CCl4组。促瘤因子CAPNS1和eEF1A1仅在DEN+CCl4+Fru组检出。研究者通过亲和层析检测发现,高果糖显著增加了CAPNS1和eEF1A1的O-糖基化。因此,研究者假设高果糖摄入导致的CAPNS1和eEF1A1的O-糖基化增加促进了HCC进展。

图5 O-糖基化修饰蛋白质组揭示果糖摄入引起的O-糖基化变化
6. 果糖诱导的eEF1A1和CAPNS1的O-糖基化促进细胞增殖和HCC进展
O-糖基化蛋白质组的结果显示,eEF1A1和CAPNS1糖基化的位点分别为T279和S88。序列分析显示,这两个位点在多个物种中保守。随后,研究者在OGT敲低的HCC细胞中分别构建eEF1A1 T279A或CAPNS1 S88A突变。结果显示,敲低OGT或eEF1A1 T279A均能导致HCC细胞O-糖基化水平的下降,同时呈现降低的生长速率、Ki-67阳性细胞数以及克隆形成能力。相似地,CAPNS1 S88位的O-糖基化对细胞增殖也很重要。在果糖处理下,eEF1A1 T279A组的肿瘤生长和增殖也受到显著抑制。这些结果表明,eEF1A1的O-糖基化对果糖诱导的HCC进展是关键的。

图6 果糖诱导的eEF1A1和CAPNS1的O-糖基化促进细胞增殖和HCC进展
7. 在高果糖饮食小鼠中,肠道菌群乙酸盐增强O-糖基化并且促进HCC进展
果糖通过肠道菌群转化为乙酸盐,而这种果糖来源的乙酸盐可能促进UDP-GlcNAc合成和高的O-糖基化。因此,研究者继续探索菌群乙酸盐是否在体内促进HCC进展。研究者通过广谱抗生素清除HCC模型小鼠的肠道菌群。结果显示,肠道菌群清除后,肿瘤组织中的谷氨酰胺、UDP-GlcNAc和O-糖基化显著下降。eEF1A1的糖基化也被抑制。而在补充乙酸盐后,中间代谢物、总O-糖基化和eEF1A1糖基化水平恢复。此外,补充乙酸盐不影响肿瘤的数量但提高了肝脏和体重比、最大肿瘤大小以及绝对肿瘤负荷。补充乙酸盐还导致PDOX模型小鼠肿瘤体积的增加。UDP-GlcNAc和O-糖基化水平也在补充乙酸盐后上升。以上结果支持研究者的假设:高饮食果糖通过微生物乙酸盐诱导的高O-糖基化促进HCC进展。

图7 来源自肠道菌群的乙酸盐促进了高果糖饮食下的O-糖基化及HCC进展
小结
综上所述,本研究在小鼠肝细胞癌模型中探索了高果糖促进肝癌进展的分子机制。结果显示,果糖的肠道微菌群衍生物——乙酸盐增强了肿瘤组织的O-GlcNAc糖基化,进而促进了肝癌进展。本研究为合理使用添加糖、防治代谢性疾病发生发展提供了重要的理论依据,并为相关疾病提供了潜在的治疗靶点。
中科优品推荐
本研究由表及里,循序渐进,是代谢组与O-GlcNAc糖基化联合研究的经典案例。O-GlcNAc糖基化作为一种重要的翻译后修饰,其生物功能和作用机制已成为研究者关注的热点方向。
【中科新生命】已完成多种样本类型,包括人、小鼠、大鼠的脂肪、心脏、肝脏、细胞等大规模样本的O-GlcNAc糖基化蛋白质组技术服务,并取得了良好的位点鉴定深度。欢迎感兴趣的老师前来咨询。