上海中科新生命生物科技有限公司

18

手机商铺

qrcode
商家活跃:
产品热度:
  • NaN
  • 0.5
  • 1.5
  • 0.5
  • 3.5

上海中科新生命生物科技有限公司

入驻年限:18

  • 联系人:

    杨小姐

  • 所在地区:

    上海 闵行区

  • 业务范围:

    技术服务

  • 经营模式:

    生产厂商 科研机构

在线沟通

公司新闻/正文

项目文章Cell | 新年开门红!热烈祝贺中科大薛天教授团队发表重要研究成果-光调控代谢新机制

545 人阅读发布时间:2023-02-01 10:09

新闻图片1 对于地球上的生命来说,光是最重要的环境因素之一。在哺乳动物中,光感知主要依赖于视网膜光感受器。光除了激活负责图像形成视觉的传统视锥(Cones)视杆(Rods)光感受器外,还可以直接激活表达视黑素的感光视网膜神经节细胞(ipRGCs),其可支配多个下游脑区从而调控瞳孔对光反射、昼夜节律、睡眠和情绪认知功能。公共卫生研究表明,过多人造光源暴露是造成代谢紊乱的高风险因素之一。然而,光调节代谢的神经机制仍然不是很清楚。 2023年1月19日,中国科学技术大学生命科学与医学部薛天教授研究团队在Cell上在线发表了题为“Light modulates glucose metabolism by a retina-hypothalamus-brown adipose tissue axis”的重要研究成果。该工作综合组学技术、大量神经环路示踪和操控手段、葡萄糖耐受性检测、肩胛间棕色脂肪组织(iBAT)温度检测等方法,深入在小鼠和人上揭示了光感知压抑棕色脂肪组织产热并诱发血糖不耐受的神经机制。中科新生命非常荣幸参与了该研究中非靶向代谢组学检测的相关工作。 新闻图片2
     研究材料 小鼠、人
     技术路线 步骤1:GT的光调控依赖 ipRGCs; 步骤2:ipRGC-下丘脑SON投射介导GT的光调控; 步骤3:GT的光调控依赖SONAVP-PVN投射; 步骤4:GT的光调控需要PVN投射到髓质; 步骤5:光通过阻断BAT的自适应产热作用而降低GT; 步骤6:人类GT的光调控依赖于BAT活性。
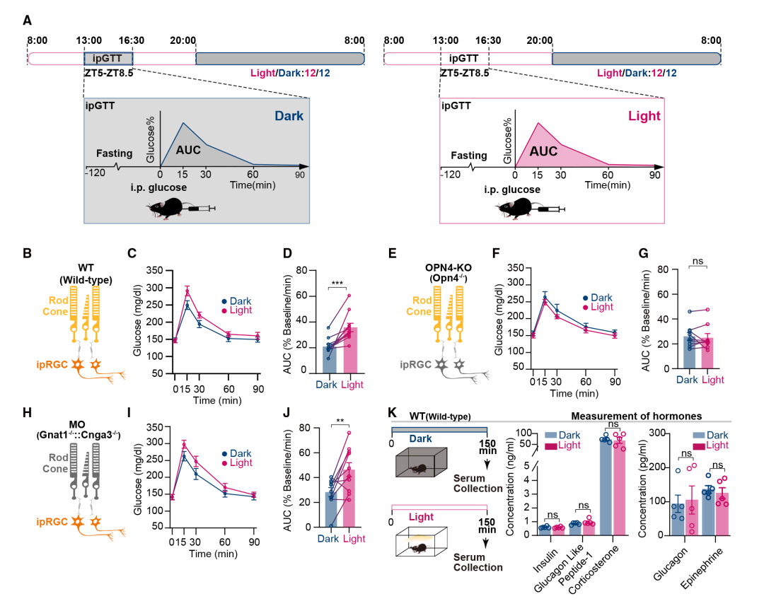
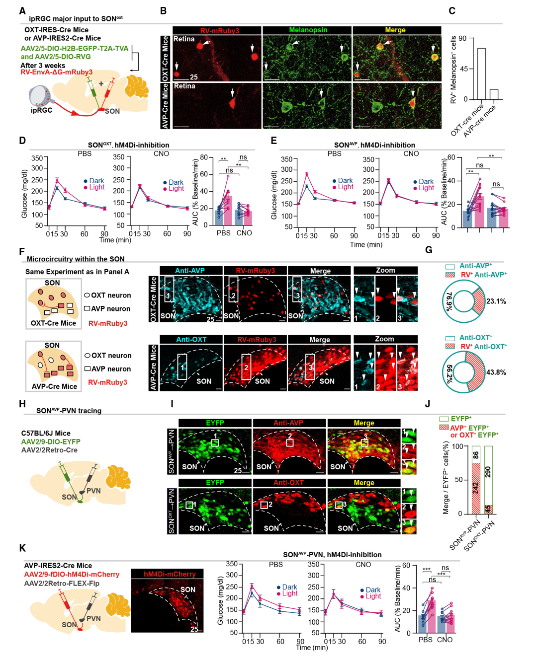
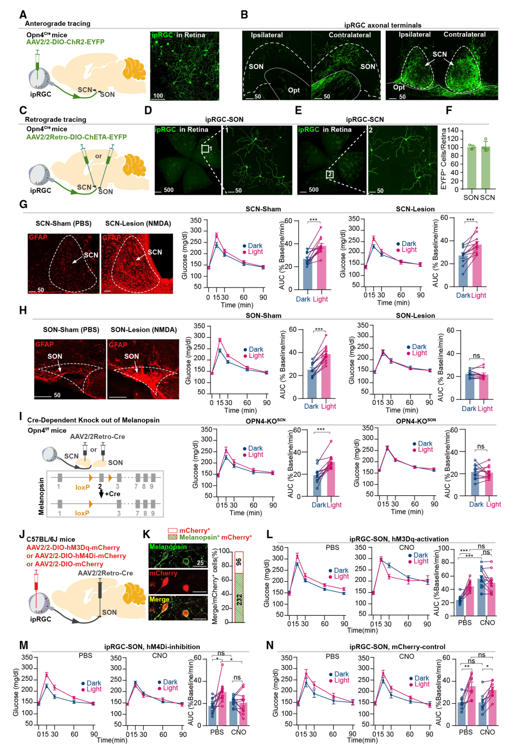
     研究结果 1. GT的光调控依赖 ipRGCs 作者首先在暗/光照射下对小鼠进行了葡萄糖耐量试验(IPGTT)以确定光对葡萄糖代谢的影响,并将葡萄糖耐量(GT)量化为曲线下面积(AUC)。结果发现与在光照下测试的野生型(WT)小鼠相比,在黑暗条件下测试的小鼠表现出显著更低的AUC(表明GT增加)。此外还发现当光可以有效激活ipRGCs时,光可调节GT,同时也证实了光对GT的影响与昼夜节律阶段(白天或夜晚)无关(图1)。 新闻图片3 图1 光通过ipRGCs降低GT 作者进一步研究了光诱导的糖代谢相关激素和营养物质的变化,包括胰岛素、皮质酮、胰高血糖素、adrenaline、乳酸、非酯化脂肪酸、去甲adrenaline、生长激素、亮氨酸、4-OH-异亮氨酸、缬氨酸和胆固醇等,发现均未发生显著变化。这些数据表明,GT可能存在直接的神经回路介导光的调节作用(图2)。 新闻图片4 图2 夜间光照降低GT   2. ipRGC-下丘脑SON投射介导GT的光调控 为进一步确定光显著下降血糖代谢耐受性这一生理过程是否由光扰乱节律所致,还是光通过直接的神经环路介导。作者对与IpRGCs有较密集连接的下丘脑视交叉上核(SCN)和视上核(SON)核团分别损毁,以评估它们对光介导的GT降低的贡献。结果发现SCN损伤消除了昼夜节律,但对光诱导的AUC差异没有影响。而SON损伤则完全阻止了GT的光调控,同时保持昼夜节律不变。进一步通过基因敲除和化学遗传学手段证实了ipRGCs向SON的投射直接介导了光对GT的影响的结论。同时也发现支配SON的RGCs中,有83%的IpRGCs(图3) 新闻图片5 图3 ipRGC-下丘脑SON投射介导了GT的光调控   3. GT的光调控依赖SONAVP-PVN投射 SON主要包含两种神经元亚型,抗利尿激素(AVP)和催产素(OXT)能神经元。结合神经环路示踪和操控手段,发现SONOXT和SONAVP神经元都接收了来自ipRGCs的投射,SONOXT逆行标记的ipRGCs大约是SONAVP的5倍。通过化学遗传学抑制两类神经元,发现光照下的AUC降低到黑暗中观察到的水平。这些数据表明SONOXT和SONAVP神经元都是GT光调控所必需的。此外,也发现了SONAVP和SONOXT神经元之间的相互投射。已知SON会投射到下丘脑室旁核(PVN),这是控制新陈代谢的重要大脑区域。作者也证实了SONAVP神经元是SON到PVN的主要输出神经元(图4)。 新闻图片6 图4 SONAVP-PVN投射介导GT的光调控   4. GT的光调控需要PVN投射到髓质 作者进一步通过追踪等实验研究了光调节GT通路中的下游靶点,使GFP在SON支配的PVN神经元中选择性表达,发现在髓质的孤束核(NTS)中有密集的GFP阳性轴突末端标记。SONAVP,而不是SONOXT神经元作为输出神经元,通过PVN控制NTS。追踪实验还发现向RPa(中缝苍白核)传递PVN输入的NTS神经元主要是GABA能神经元。结果表明光通过ipRGC-SONOXT-SONAVP-PVN-NTSVgat(孤束核的GABA能抑制性神经元)-RPa通路调节GT(图5)。 新闻图片7 图5 PVN-NTSVgat-RPa 投射介导GT的光调控   5. 光通过阻断BAT的自适应产热作用而降低GT 位于RPa内的交感前运动神经元可直接调节棕色脂肪组织(BAT)产热,作者进一步研究了光是否调节BAT产热。在黑暗条件下,单次葡萄糖注射诱导了BAT产热的适应性变化,iBAT表面温度升高,而光则阻碍了这种适应性产热。同时肩胛内表面温度升高主要由iBAT驱动,而不是由白色/米色脂肪组织驱动。这表明光确实通过交感神经通路调节葡萄糖诱导的BAT产热。在基因敲除小鼠模型研究中发现光通过β3-adrenaline能信号通路阻断BAT介导的适应性产热,从而降低GT。进一步研究发现当选择性抑制神经通路,即SONAVP-PVN, PVN-NTS和NTSVgat -RPa时,光压抑BAT介导的适应性产热现象消失。表明光通过视网膜ipRGC-SON-PVN-NTS-RPa通路阻断了BAT的适应性产热,从而降低了GT(图6)。 新闻图片8 图6 光通过阻断BAT介导的适应性产热降低GT   6. 人类GT的光调控依赖于BAT活性 为了评估光是否同样降低人类的GT,在暗/光照射下对健康志愿者进行了葡萄糖耐量试验,发现在光照条件下表现出更高的AUC(降低GT),同时证实光对人类GT的影响与昼夜节律有关,相较于白天,人体在夜晚表现出更差的血糖耐受性。接着研究人员在蓝光(ipRGC敏感)与红光(ipRGC不敏感)下评估了人类的GT,结果显示仅在蓝光照射下人血糖耐受性下降。进一步在热中性温度(BAT介导的适应性产热受到限制)下评估了BAT产热在人体葡萄糖调节中的相关性,发现AUC不再受光照(白光LED灯)的影响。暗示在人上,光下降血糖耐受性的潜在机制和小鼠一致。即光由人的ipRGC感知,并通过降低脂肪组织活性来下降血糖耐受性(图7)。 新闻图片9 图7 人类GT的光调控依赖于BAT活性
     小结 该项工作在小鼠模型上系统研究了环境光暴露诱发血糖不耐受的感光、神经环路和外周效应机制:光可以直接通过激活支配下丘脑视上核的视网膜神经节细胞,继续激发室旁核神经元投射到孤束核的GABA能神经元,通过β3-adrenaline能信号通路阻断棕色脂肪组织的适应性产热,导致葡萄糖耐量下降。此外,在人身上也发现一致的现象,这可能解释了人工光与代谢失调之间的联系,并揭示了代谢紊乱的潜在预防和治疗策略(图8)。 新闻图片10 图8 光感知压抑棕色脂肪组织产热并诱发血糖不耐受的神经机制   【中科新生命】建立了完整的代谢组学服务平台,包括空间代谢组学、非靶向代谢组学、靶向/高通量靶向代谢组学、代谢流,单细胞代谢组即将上新,帮助老师从代谢物角度系统地解析数据,挖掘关键生物学信息。欢迎感兴趣的老师前来咨询。
 

上一篇

项目文章集锦之转录组-蛋白质组联合分析

下一篇

新征程,新希望 | 陈薇董事长祝全体追梦人开工大吉

更多资讯

我的询价